肺鳞癌“破冰之战”!依沃西单抗方案为鳞癌患者一线治疗保驾护航,安全可依、快速缩瘤

医脉通 2025.10.23

免疫2.0时代 实例先锋

12条内容

肺鳞癌在非小细胞肺癌(NSCLC)占比为30%~35%,因其驱动基因突变概率低而面临治疗选择少,传统化疗获益有限的困境。且因肺鳞癌多为中央型,肿瘤靠近大血管、易形成肿瘤空洞,这些组织学特征所带来的出血风险,使得抗血管生成机制药物长期以来难以惠及中央型肺鳞癌患者[1]。近年来,创新疗法的兴起为肺鳞癌患者带来新的治疗希望[2]依沃西单抗作为全球首创PD-1/VEGF双特异性抗体,凭借其“靶免一体”特性填补了既往在中央型肺鳞癌中不可使用抗血管生成药物治疗的空白。


本文即为一例典型案例,一位高龄且合并多种疾病的晚期肺鳞癌患者,一线治疗接受依沃西单抗联合化疗1周期后即迅速实现局部缓解(PR),并持续缓解超过10个月,未发生出血等不良反应事件。该病例由西安交通大学第一附属医院朱柏教授分享,浙江大学医学院附属第一医院周建英教授围绕分享病例及最新研究进展进行深度剖析,并就晚期肺鳞癌治疗策略优化展开论述。

患者信息

患者男,78岁,因“间断咳嗽2月余,痰中带血1天”于2024年12月9日入院。患者2月余前开始出现间断咳嗽,伴咳痰,痰为白色痰。于当地医院查胸部CT示:左肺肿物。当地医院给予抗感染、止咳化痰等治疗。1天前开始出现痰中带血,偶有左侧胸痛不适,为求进一步诊治,查胸部增强CT示:左肺门肿块伴坏死,考虑中央型肺癌,左肺上叶阻塞性炎症,纵隔及两肺门肿大淋巴结。患者30余年吸烟史(10支/日,已戒烟)。查体示,左肺呼吸音低,右肺呼吸音清,未闻及干湿性啰音及胸膜摩擦音。

辅助检查

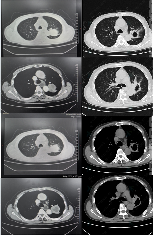
  • 2024-12-6胸部CT:左肺肿物

图1 2024-12-6胸部CT

  • 血气分析pO2 67mmHg;

  • 血沉检查ESR 43mm/h;

  • 肿瘤标志物细胞角蛋白19片段3.6ng/mL;

  • 血常规、尿常规、肝肾功、甲状腺功能、心肌酶、电解质等均未见明显异常;

  • 肺功能:GOLD评分3级

  • 支气管镜示,左侧支气管粘膜改变并管腔狭窄,且在超声支气管镜引导下行纵隔淋巴结针吸活检;

图2 支气管镜画面(从左到右依次为:隆突、左主支气管、左肺上叶支气管和左肺上叶固有支)

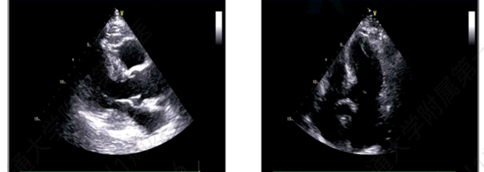
  •  超声心动图示,升主动脉增宽、左室舒缓功能减低;

图3 超声心动图

  • 甲状腺彩超示,甲状腺右叶下极及左叶中下部结节 TI-RADS 5类,甲状腺右叶中下部结节 TI-RADS 4类,甲状腺双叶小结节 TI-RADS 2-3类,左侧颈部IV淋巴结回声不均匀,且在超声引导下甲状腺右叶下极低回声结节+甲状腺左叶中下部低回声结节+左侧颈部IV区淋巴结及包埋蜡块FNA;

图4 甲状腺彩超

  • 头颅增强MRI示,①轻度增龄性脑改变:颅脑脑实质增强扫描未见明显异常强化灶;②右侧上颔窦炎 (轻度);

  • 腹部及盆腔增强CT示,①肝实质多发单纯性囊肿;双肾囊肿,前列腺增生、肥大;②胆囊、脾脏、胰腺、双侧肾上腺及膀胱均未见明显异常;

  • 全身骨显像示,全身骨未见明确骨代谢异常增高灶;右胫骨远端代谢轻度增高,建议排除外伤后定期复查;

图5 全身骨显像

  • 甲状腺细胞病理学诊断示,①“甲状腺右叶下极结节”BRAF基因V600E检测:未检测到突变;②“甲状腺右叶下极、左叶中下部结节穿刺涂片”镜下见极少量滤泡上皮细胞,细胞少难以明确诊断;③“左侧颈部IV区淋巴结穿刺涂片及其细胞蜡块切片”未见恶性细胞可见淋巴细胞、红细胞;

图6 甲状腺细胞镜下


  • 左肺穿刺活检示非小细胞癌;免组染色CK7(+)、TTF1(-)、NapsinA(-)、CK5/6(+)、P40(+)、Ki67(+30%)、ALK-D5F3(-)、Her2(0)、C-Met(2+)、PD-L1(TPS:+5%)(Ventana,E1L3N),结合免组标记提示低分化鳞状细胞癌

入院诊断

  • 左肺鳞癌T3N3M0 IIIC期,阻塞性肺炎,双肺门及纵隔淋巴结肿大;

  • 双肺结节;

  • 右肺不张;

  • 慢性阻塞性肺疾病;

  • 前列腺增生;

  • 右侧上颌窦炎;

  • 甲状腺结节;

  • 食管裂孔疝;

  • 肝囊肿;

  • 肾囊肿。

治疗方案及疗效评估

2024-12-27起“依沃西单抗(1000mg 静脉输注 Q3W)+长春瑞滨(90mg 口服  d1,d8)”抗肿瘤治疗;

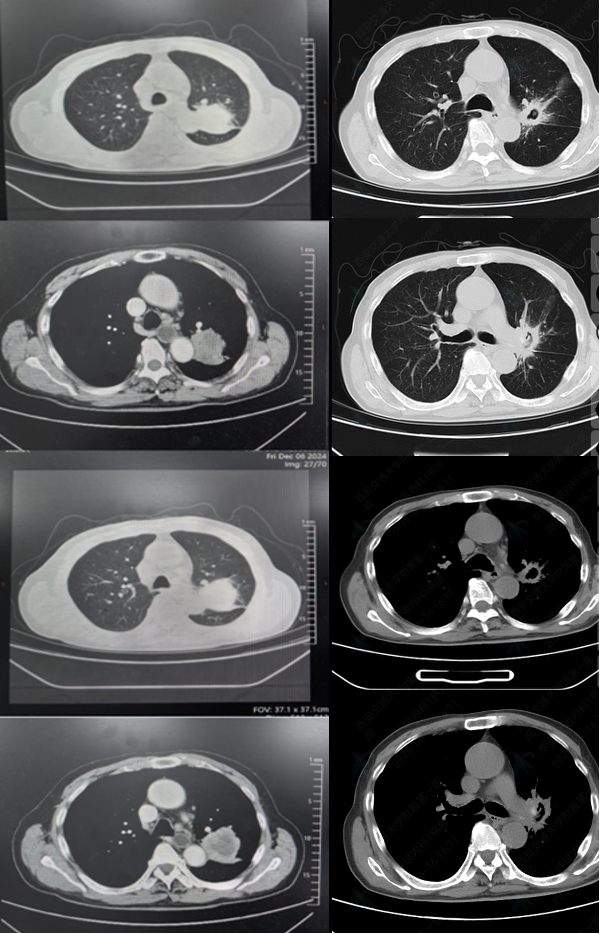
2025-1-17 首次用药后,胸部CT结果如下,提示病灶明显缩小;

图7 2024-12-6(左)对比2025-01-17(右)胸部CT


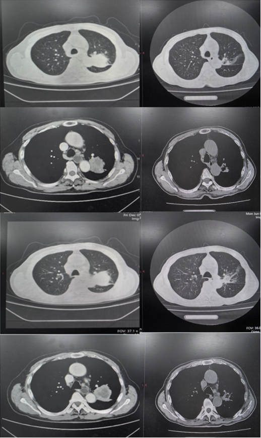
2025-04-26 用药5周期后,胸部CT结果如下所示,疗效评估为PR

图8 2024-12-6(左)对比2025-04-26(右)胸部CT


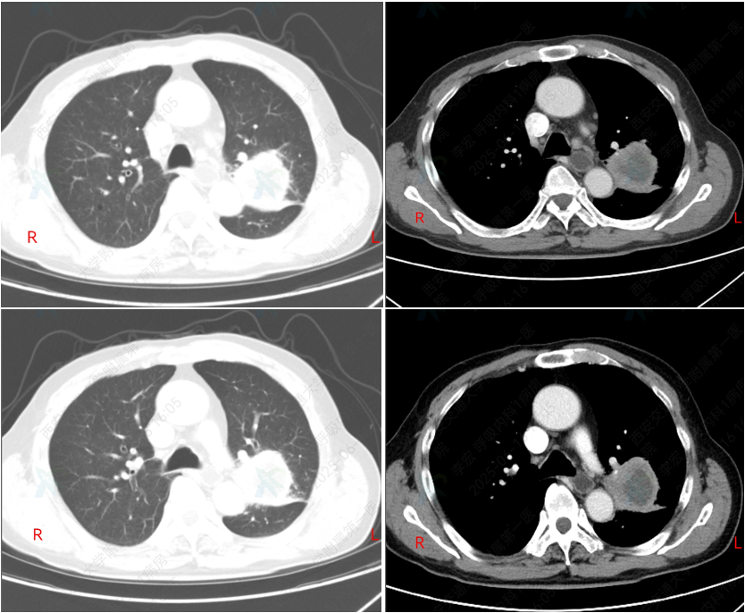
2025-6-16 用药7周期后,胸部CT结果如下所示,疗效评估为PR

图9 2024-12-6(左)对比2025-06-16(右)胸部CT


截止最新随访时间(2025-09-12),该患者持续PR,目前仍在接受“依沃西单抗联合化疗”方案治疗。

病例小结

本病例中患者因“间断咳嗽2月余,痰中带血1天”入院,经系列检查后初步诊断为左肺鳞癌T3N3M0 IIIC期,并伴有慢性阻塞性肺疾病等多种疾病,肺功能差(GOLD评分3级),经综合评估后一线治疗给予该患者依沃西单抗联合化疗方案。患者治疗1周期后迅速缩瘤,治疗9周期期间持续PR。同时,治疗期间未出现明显治疗相关不良事件(TRAEs)。目前,患者仍接受依沃西单抗联合化疗治疗,已持续治疗10个月,仍在随访中。

专家点评

肺鳞癌作为NSCLC中重要亚型,主要发生在中央气道和段支气管(中央型)[3],具有肿瘤靠近大血管、坏死易出现空洞等特点,患者整体出血风险较高[4]。既往一项探索贝伐珠单抗联合化疗一线治疗肺鳞癌疗效及安全性的Ⅱ期临床研究显示,肺鳞癌患者严重出血比例高达31%,且出血风险与鳞癌、肿瘤坏死及空洞、肿瘤靠近血管等因素相关[5],限制了肺鳞癌患者从该类重要治疗手段中充分获益。近年来,PD-(L)1单抗联合化疗方案成为晚期肺鳞癌的一线治疗标准选择,但目前整体5年总生存(OS)率仍不足20%[6]。因此,临床上亟需升更优的一线治疗模式以进一步改善该类患者获益。


依沃西单抗作为全球首创的PD-1/VEGF双特异性抗体,其“靶免一体”特性使其成为升级现有驱动基因阴性鳞状NSCLC一线治疗策略的重要手段。在III期HARMONi-2研究[7]中,对于驱动基因阴性PD-L1阳性的初治晚期NSCLC患者,依沃西单抗对比帕博利珠单抗实现PFS近乎翻倍(11.1个月 vs. 5.8个月,HR=0.51)。此外,依沃西单抗组和帕博利珠单抗组的中位至缓解时间(mTTR)分别为1.5个月和2.5个月,提示依沃西单抗能实现快速缩瘤。且在入组鳞癌患者占比45.5%的情况下仍未发生3级以上出血事件,呈现出可管理的安全性,成功填补了抗血管生成药物在肺鳞癌一线治疗中不可用的临床空白。

图9 HARMONi-2研究鳞癌亚组PFS生存曲线

近期,一项探索依沃西单抗联合化疗 vs 替雷利珠单抗联合化疗一线治疗驱动基因阴性晚期鳞状NSCLC的随机、双盲、多中心、注册性III期临床试验HARMONi-6研究[8]亦在ESMO大会和《柳叶刀》主刊中公布了具体数据。依沃西单抗联合化疗组中位无进展生存期(mPFS)达11.14个月,较对照组替雷利珠单抗联合化疗(6.90个月)显著延长,绝对值提升达4.24个月[9-16],兼具显著的统计学差异与临床意义。该研究入组的中央型肺鳞癌患者占比63%,其中不乏伴有重要血管包绕(18.4% vs. 16.5%)、伴有空洞(9.0% vs. 8.6%)、伴有咯血史(32.3% vs. 29.7%)的患者,在此基线条件下,依沃西单抗联合化疗3级及以上出血事件的发生率仍与替雷利珠单抗联合化疗方案相似(1.9% vs. 0.8%),再次体现了其良好的安全性。依沃西单抗无论单药或联合化疗方案,均取得了优于传统PD-1单抗方案的疗效表现,是肺鳞癌一线治疗的重大升级。

图10 HARMONi-6研究ITT人群PFS结果

此病例中,一位高龄患者确诊为晚期肺鳞癌伴淋巴结多发转移,且免疫组化进一步提示PD-L1 TPS=5%(低表达)。同时,该患者合并慢性阻塞性肺疾病、右肺不张、食管裂孔疝等多种疾病,患者基线状态较差且肺功能不佳,对一线治疗方案的安全性以及对其耐受性提出了更高要求。鉴于依沃西单抗联合化疗方案在该类患者一线治疗中的积极探索以及展现出的良好疗效及安全性,推荐患者进行依沃西单抗联合化疗一线治疗并快速实现PR。该晚期肺鳞癌患者从依沃西单抗联合化疗方案中实现长达10个月的持续获益,且仍在治疗中,验证了HARMONi-6研究的优异结果。


值得注意的是,患者初诊时支气管镜检查结果显示,左侧支气管粘膜改变并管腔狭窄,提示肿瘤有进一步侵袭趋势,且患者已出有“痰中带血”症状。但患者在接受依沃西单抗联合化疗期间,患者未出现TRAEs且无出血事件发生。这一临床实例,以真实世界中应用探索再证依沃西单抗联合化疗为肺鳞癌患者所带来的安全获益保障,有望实现更长生存。依沃西单抗方案正在挑战以PD-1单抗为基础的治疗格局,迭代晚期肺鳞癌一线标准治疗,加速引领肺癌免疫治疗2.0时代。

专家介绍

病例分享专家


朱柏 教授

  • 西安交通大学第一附属医院呼吸与危重症医学科副主任

  • 主任医师,医学博士,硕士研究生导师

  • 全国结核病防治综合质量控制专家委员会委员

  • 中国医师协会内镜医师分会委员呼吸内镜专业委员会委员

  • 中国医疗保健国际交流促进会睡眠医学分会委员

  • 中国戒烟联盟理事

  • 陕西省保健协会呼吸分会副主任委员

  • 陕西医师协会睡眠专委会常委

  • 陕西省中西医学会变态反应专委会常委

  • 陕西省中西医学会肺康复专委会常委

  • 陕西省抗癌协会肺癌专委会常委

  • 陕西省抗癌协会整合肿瘤临床免疫分会常委

  • 西安西安市癌症康复协肺肺癌专委会主任委员

病例点评专家


周建英 教授

  • 浙江大学博士生导师,二级教授

  • 浙江大学附属一院呼吸与危重症医学科名誉主任

  • 浙江大学附属一院终身教授

  • 中华医学会呼吸病分会全国常委

  • 中国医师协会呼吸医师分会第三,四,五届常委

  • 中华医学会呼吸病分会胸膜学组(筹)副组长

  • 中国医促会胸部肿瘤分会副主委

  • 浙江省医师协会呼吸医师分会名誉会长

  • 浙江省医学会呼吸病分会名誉主任委员


参考文献

[1]周红梅,肖敬,李超,任宏伟.深部热疗联合恩度及nab-PC方案治疗驱动基因阴性且PD-L1表达阴性的晚期肺鳞癌的临床研究[J].肿瘤药学,2025,15(2):221-228

[2]王红.抗血管联合免疫治疗在PD-L1阴性或低表达晚期NSCLC患者的应用[D].电子科技大学,2025.

[3]Liu H, Liu B, Zhang L, et al. An investigation to identify tumor microenvironment-related genes of prognostic value in lung squamous cell carcinoma based on The Cancer Genome Atlas. Transl Cancer Res. 2021;10(4):1885-1899.

[4]吴东平,徐农.晚期肺鳞癌治疗现状与前景[J].实用肿瘤杂志,2014,29(05):408-412.

[5]Johnson DH, Fehrenbacher L, Novotny WF, et al. Randomized phase II trial comparing bevacizumab plus carboplatin and paclitaxel with carboplatin and paclitaxel alone in previously untreated locally advanced or metastatic non-small-cell lung cancer. J Clin Oncol. 2004;22(11):2184-2191.

[6]Novello S, Kowalski DM, Luft A, et al. Pembrolizumab Plus Chemotherapy in Squamous Non-Small-Cell Lung Cancer: 5-Year Update of the Phase III KEYNOTE-407 Study. J Clin Oncol. 2023;41(11):1999-2006.

[7]Xiong A, Wang L, Chen J, et al. Ivonescimab versus pembrolizumab for PD-L1-positive non-small cell lung cancer (HARMONi-2): a randomised, double-blind, phase 3 study in China. Lancet. 2025;405(10481):839-849.

[8]The Lancet,2024 Oct;9(10):103727. doi: 10.1016/j.esmoop.2024.103727.

[9]Shi Y, et al. J Clin Oncol. 2025;43(16_suppl):8514-8514.

[10]Wang J, et al. ESMO Open. 2024 Oct;9(10):103727.

[11]Zhou C, et al. J Thorac Oncol. 2021 Sep;16(9):1501-1511.

[12]Zhong H, et al. Lancet Respir Med. 2024 May;12(5):355-365.

[13]Zhou C, et al. Cancer Cell. 2024 Feb 12;42(2):198-208.e3.

[14]Ren S, et al. J Thorac Oncol. 2022 Apr;17(4):544-557.

[15]Novello S, et al. J Clin Oncol. 2023 Apr 10;41(11):1999-2006.

[16]Johnson DH, et al. J Clin Oncol. 2004 Jun 1;22(11):2184-91.


回复

5

全部讨论(48)

确实受益匪浅

2025-10-23 18:30:02

回复

0

确实有启发

2025-10-23 20:20:02

回复

0

收获知识

2025-10-23 20:50:01

回复

0

叙述很清晰

2025-10-24 00:00:02

回复

0

感觉很受益

2025-10-24 00:00:02

回复

0

观点很新颖

2025-10-24 00:50:01

回复

0

非常有帮助

2025-10-24 01:00:07

回复

0

说得很对

2025-10-24 07:10:01

回复

0

期待更多

2025-10-25 01:30:07

回复

0

说得很对

2025-10-25 14:00:02

回复

0

很有收获感

2025-10-26 00:00:02

回复

0

学到很多知识

2025-10-26 00:40:02

回复

0

很有深度

2025-10-26 16:10:01

回复

0

确实学到了

2025-10-26 21:00:01

回复

0

感觉很精彩

2025-10-27 01:00:09

回复

0

文章很有深度

2025-10-27 01:20:08

回复

0

收获知识

2025-10-27 01:50:10

回复

0

非常同意

2025-10-28 00:30:02

回复

0

非常有好处

2025-10-28 01:10:10

回复

0

结构很合理

2025-10-28 10:20:02

回复

0