依沃西单抗单药一线治疗PD-L1高表达晚期NSCLC:一例高龄且多合并症患者实现快速缩瘤减症

医脉通 2025.11.25

免疫2.0时代 实例先锋

12条内容

肺腺癌是非小细胞肺癌(NSCLC)中最常见的亚型,占比约40%-50%[1]。在其中一类特殊人群——驱动基因阴性、体能状态差(ECOG PS评分≥2)的患者中,传统治疗选择常面临双重困境:免疫单药疗效受限,联合化疗又因耐受性差而难以实施[2,3]因此,探索具有更优疗效、良好安全性的治疗方案成为临床迫切需求。


基于此,本文报道一例晚期肺腺癌典型病例:85岁高龄患者,ECOG PS评分3分,合并Ⅰ型呼吸衰竭,既往高血压、糖尿病及脑梗死病史,影像学提示双肺弥漫转移、胸膜转移及骨转移,基因检测未发现驱动基因突变,PD-L1为高表达(TPS=60%)。基于HARMONi-2研究的优异结果,该患者接受依沃西单抗(PD-1/VEGF双特异性抗体)单药一线治疗,2周期即症状缓解,6周期达部分缓解(PR),病灶快速缩小,且整体治疗过程安全可控


该病例由常州市第一人民医院冯春来教授进行分享,常州市第一人民医院李翀教授进行点评,或可为临床类似患者的治疗选择提供实践参考。

患者信息

基本信息:女,85岁,因“咳嗽、气急半月余”于2024年11月18日入院,ECOG PS评分3分


现病史:患者半月余前无明显诱因下出现咳嗽,干咳为主,少量白痰,稍动感气急,能平卧,无发热畏寒,无头晕头痛,无胸痛咯血,无下肢浮肿,查肺CT提示两肺弥漫结节,考虑转移,双侧胸膜转移可能;左肺上叶软组织影,双侧肺门增大,左肺支气管狭窄,左肺局部不张,双侧胸腔积液。


既往史“高血压”病史10余年,最高160/100 mmHg,口服“氨氯地平5mg qd”,血压控制尚可;糖尿病病史5年余,药物控制;脑梗死个人史。


查体:T 36.5℃,P 88次/分,R 18次/分,BP 142/98mmHg。患者神志清醒,发育正常,精神稍萎,轮椅送入病房,口唇稍发绀,皮肤黏膜无黄染,全身浅表淋巴结无肿大。颈软,颈静脉无怒张,双下肺呼吸音低,双肺未闻及干湿啰音,心率88次/分,心律齐,无病理性杂音,腹软,无压痛,肝脾肋下未触及,双下肢无浮肿,生理反射存在,双侧病理反射未引出。

辅助检查

2024.11.11检查:

◾ 肿瘤标志物检查:血CEA:5.22ng/ mL,CA19-9:896.0U/ mL, CA125:285.0U/ mL ,CA -50:478.6U/ L。

◾ 心脏扇超:二尖瓣轻度反流,左室舒张功能减退;EF 59%。

◾ 胸部CT示: 两肺弥漫结节,考虑转移,双侧胸膜转移可能;左肺上叶软组织影,双侧肺门增大,左肺支气管狭窄,左肺局部不张,双侧胸腔积液。

2024.11.14行PET-CT示:左肺上叶尖后段结节 FDG 代谢轻度增高,倾向恶性病变;纵隔(4R)及双肺门淋巴结FDG 代谢增高,倾向淋巴结转移,双侧胸膜(包含纵隔胸膜及叶间胸膜等)增厚 FDG 代谢轻度增高,倾向胸膜多发转移伴双侧胸腔少量积液,双肺多发结节部分 FDC 代谢轻度增双肺多发转移,右侧肩胛骨代谢增高灶,倾向骨转移。


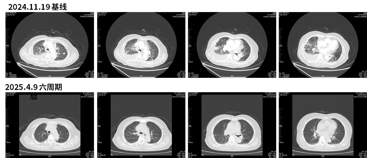
2024.11.19胸部CT示:左肺上叶恶性肿瘤可能,双肺、双侧胸膜发转移灶,纵隔内多发稍大淋巴结;双侧少量胸腔积液伴双肺下叶局限性肺不张;主动脉及冠状动脉钙化。

图1 2024.11.19 胸部CT结果

实验室检查:

◾ 血常规:WBC:12.75*10^9/L,N:74.1%,EOS:1.4%,Hb:125g/l,PLT:514*10^12/L。

◾ 肝功能血生化:总蛋白:55.6 ↓g/L,蛋白:29.9 ↓g/L,肌酐:32 μmol/L,钙:2.01 ↓mmol/L,镁:0.53 ↓mmol/L,余均正常。

◾ 肿瘤标志物:CYFRA21-1:4.48ng/ml,CEA、NSE、SCCAg、胃泌素释放肽前体正常。

◾ 胸水癌胚抗原:39.10 ↑ng/ml。


2024.11.20胸水细胞学示:查见异型细胞,倾向腺癌


2024.11.20肺穿刺标本示:非小细胞癌,低分化,倾向腺癌。


基因检测:无靶向药物可及,PD-L1 TPS=60%。

诊断

  • 左肺腺癌(cT4N3M1b,IVA期),驱动基因阴性,PD-L1 表达60%,ECOG PS评分3分

  • I型呼吸衰竭

  • 高血压病2级(极高危)

  • 糖尿病

  • 脑梗死个人史

治疗方案及疗效评估

治疗经过

该患者高龄、基础情况差,无法耐受化疗;PD-L1表达水平为60%,属于高表达,为免疫治疗优势人群;HARMONi-2研究数据显示,依沃西单抗对比帕博利珠单抗在PD-L1阳性晚期初治NSCLC患者中显著延长mPFS(11.1m vs.5.8m,HR=0.51),且患者生活质量与对照组相当[4]。故经过充分沟通,选择依沃西单抗单药作为一线治疗方案。

  • 2024年11月28日起:予依沃西单抗单药治疗(1000mg)

  • 给药时间:2024年11月28日、12月19日、2025年1月9日、2月1日、2月23日、3月18日、4月9日、5月8日、6月10日、7月11日、8月11日、9月10日、10月15日、11月17日,共14次。


疗效评估

  • 血CEA:2024.12.18峰值13.5ng/mL,后持续稳步下降,至2025.5.8降至3.55ng/mL。

图2 血CEA变化结果


  • 依沃西单抗单药治疗2周期后,患者症状明显缓解,治疗6周期达PR,治疗过程中未出现明显药物相关不良反应。

图3 依沃西单抗治疗2周期后胸片结果

图4 依沃西单抗治疗6周期后CT结果

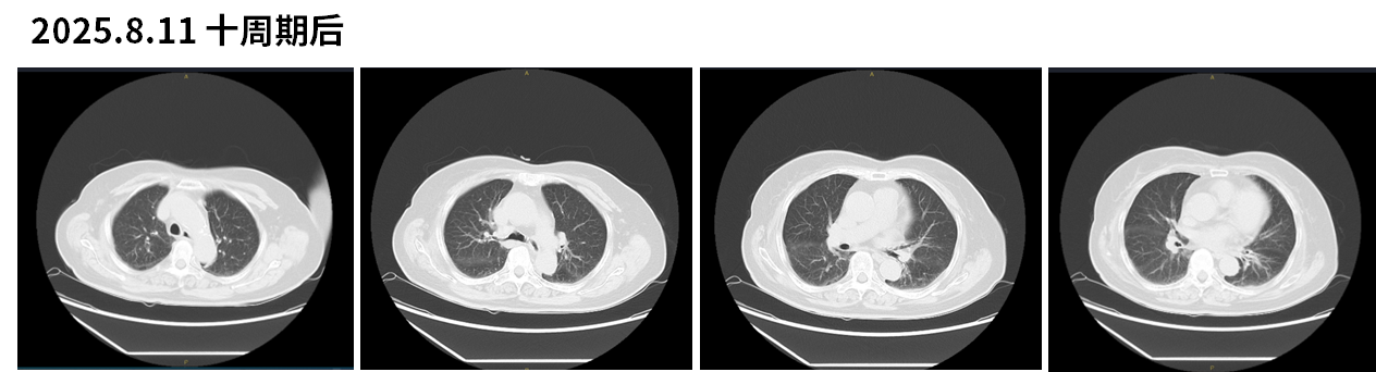
图5 依沃西单抗治疗10周期后CT结果

病例小结

该患者为85岁高龄女性,因“咳嗽、气急半月余”入院,经院内外系统评估后确诊为左肺腺癌(cT4N3M1b,IVA期),驱动基因阴性,PD-L1表达水平高达60%。考虑患者年龄较大、基础情况不适用化疗,一线治疗选择依沃西单抗单药方案,自2024年11月28日起接受治疗。


疗效评估显示,仅2个周期后患者症状即明显缓解,6周期后影像学提示肿瘤显著缩小,达部分缓解(PR);同时血清肿瘤标志物CEA由峰值的13.5 ng/mL下降至3.55 ng/mL提示生物学应答明确。整个治疗过程中未出现明显药物相关不良反应,患者耐受性良好。目前治疗持续进行中,截止最新随访时间(2025.11.17),患者接受依沃西单抗单药一线治疗PFS已接近一年。

专家点评

此病例体现了依沃西单抗在PD-L1高表达的初治NSCLC人群,尤其是不适用化疗的患者中的独特价值。


该患者PD-L1表达60%,年龄高达85岁、ECOG评分3分,合并Ⅰ型呼吸衰竭、高血压、糖尿病和脑梗史,传统免疫联合化疗存在较高毒副反应风险,传统免疫单药是标准治疗方案之一,但仍存在疗效提升空间。依沃西单抗作为能够同时靶向PD-1和VEGF-A的双特异性抗体,以其“靶免一体”机制展现出的优异疗效和良好安全性,更加契合了此类人群的临床需求。


HARMONi-2研究[4]是一项全国多中心、随机、双盲、注册性III期临床试验,旨在比较依沃西单抗与帕博利珠单抗在PD-L1阳性晚期NSCLC患者一线治疗中的疗效和安全性,是全球首个对比帕博利珠单抗取得阳性结果的Ⅲ期临床研究。结果显示,依沃西单抗组的mPFS高达11.1个月,较帕博利珠单抗的5.8个月近乎翻倍(HR=0.51),ORR为50% vs. 39%,中位至起效时间(mTTR)为1.5m vs. 2.5m,体现了依沃西单抗“更高缓解、更快起效、更强疗效”的特性。


尤其在PD-L1高表达亚组中,依沃西单抗对比帕博利珠单抗的mPFS为11.1个月 vs. 8.2个月(HR=0.48),ORR为60% vs. 48%,均取得了显著获益回顾既往研究数据,对于非鳞癌患者而言,PD-(L)1抑制剂联合化疗的PFS普遍在8.3-11个月之间,依沃西单抗单药疗效有望媲美传统免疫联合化疗方案[5-8]。且依沃西单抗组患者生存质量与帕博利珠单抗组一致,无TRAE导致的死亡事件发生,展现了良好的安全性。

图6 HARMONi-2研究PFS结果:(A)全人群;(B)PD-L1 TPS≥50%;(C)PD-L1 TPS为1~49%;(D)鳞癌患者;(E)非鳞癌患者


在本案例中,一位PD-L1高表达、不适用化疗的晚期初治肺腺癌患者,使用依沃西单抗单药一线治疗2周期后症状明显缓解,6周期即达PR,维持疗效超过10周期,仍在持续治疗中。充分印证了HARMONi-2研究中依沃西单抗“起效快、缓解深”的特征,体现了依沃西单抗在PD-L1高表达患者中的疗效优势,也提示其在不适合化疗的特殊人群中具备良好耐受性与可持续获益的潜力。


当前,依沃西单抗单药用于PD-L1表达阳性晚期NSCLC一线治疗的适应症已经获批。在免疫治疗迈入“2.0时代”的今天,依沃西单抗单药的实践案例为构建PD-L1高表达以及不适用化疗的患者的个体化治疗路径提供了新的方向,提高了患者的生活质量,树立了“免疫2.0时代”的新标准。

专家介绍

病例分享专家


冯春来 教授

  • 常州市第一人民医院呼吸与危重症医学科科副主任 医学博士 主任医师 硕士生导师

  • 江苏省细菌感染与耐药防治分会委员

  • 江苏省医学会呼吸病学分会肺部感染学组成员

  • 江苏省医学会罕见病学分会委员

  • 江苏省医师协会呼吸医师分会感染学组委员

  • 常州市医师协会呼吸医师分会副会长

  • 常州市医学会呼吸病学分会委员

病例点评专家


李翀 教授

  • 常州市第一人民医院 主任医师 副教授 医学博士 博士研究生导师

  • 苏州大学附属第三医院呼吸与危重症医学科 主任

  • 江苏省333第二层次人才

  • 美国普度大学访问学者

  • 江苏省医学会呼吸病学分会常务委员

  • 江苏省医师协会呼吸医师分会常务委员

  • 江苏省老年学学会慢性病专委会常务委员

  • 江苏省医师协会呼吸病学分会睡眠呼吸障碍学组组长

  • 江苏省医学会呼吸病学分会肺癌学组委员

  • 江苏省免疫学会肿瘤免疫专业委员会委员

  • 常州市医学会呼吸病学分会副主任委员

  • 常州市医师协会呼吸医师分会会长

参考文献:

1. 中华医学会肿瘤学分会. 中华医学会肺癌临床诊疗指南患者版(2024版)[J]. 中华肿瘤杂志, 2025, 47(1): 26-38.

2. 钱 哲,胡 瑛,林 根.晚期肺癌PD1/PD-L1单抗免疫治疗现状与思考[J].中国临床新医学,2024,17(12):1325-1330.

3. Léna H, Greillier L, Cropet C, et al. Nivolumab plus ipilimumab versus carboplatin-based doublet as first-line treatment for patients with advanced non-small-cell lung cancer aged ≥70 years or with an ECOG performance status of 2 (GFPC 08-2015 ENERGY): a randomised, open-label, phase 3 study. Lancet Respir Med. 2025 Feb;13(2):141-152.

4. Xiong A, Wang L, Chen J, et al. Ivonescimab versus pembrolizumab for PD-L1-positive non-small cell lung cancer (HARMONi-2): a randomised, double-blind, phase 3 study in China. Lancet. 2025 Mar 8;405(10481):839-849.

5. KEYNOTE-189: Ann Oncol. 2021 Jul;32(7):881-895

6. RATIONALE-304: 2022 ESMO IO 138P; J Thorac Oncol. 2021 Sep;16(9):1512-1522.

7. ORIENT-11: Lung Cancer. 2022 Sep;171:56-60

8. CameL: 2024 ELCC Abstract# 61P;J Thorac Oncol. 2023 May;18(5):628-639.


回复

1

全部讨论(37)

感觉收获颇丰

2025-11-28 07:40:01

回复

1

希望探讨

2025-11-25 19:20:02

回复

0

值得学习

2025-11-25 20:10:01

回复

0

希望继续

2025-11-25 21:40:02

回复

0

文章很有深度

2025-11-25 23:40:01

回复

0

学到新东西

2025-11-26 02:00:03

回复

0

期待更新

2025-11-26 14:10:01

回复

0

确实学到了

2025-11-26 23:00:01

回复

0

值得学习

2025-11-27 08:20:02

回复

0

确实收获颇丰

2025-11-27 18:00:02

回复

0

非常有帮助

2025-11-28 00:20:02

回复

0

说得好

2025-11-28 10:30:02

回复

0

5101489

学习了

2025-11-28 18:26:59

回复

0

感谢交流

2025-11-29 00:40:02

回复

0

学到很多东西

2025-11-29 01:10:07

回复

0

学到新知识

2025-11-30 01:30:09

回复

0

感觉很受益

2025-11-30 01:30:09

回复

0

确实有帮助

2025-11-30 01:30:09

回复

0

观点很新颖

2025-12-01 00:20:01

回复

0

希望探讨

2025-12-01 13:40:02

回复

0