2周期达PR!依沃西单抗联合化疗破局传统免疫瓶颈,为SMARCA4缺失型NSCLC一线治疗带来长生存

医脉通 2025.11.28

免疫2.0时代 实例先锋

12条内容

肺癌是全球发病率最高的恶性肿瘤之一,其中非小细胞肺癌(NSCLC)占比约85%[1]。基于免疫治疗的发展,驱动基因阴性晚期NSCLC患者的一线治疗方案经历了一系列变革。在FDA和NMPA的指导下,双特异性抗体以解决PD-(L)1单抗尚未解决的临床问题为导向,在传统免疫治疗的基础上进一步提升患者获益。随着全球首个PD-1/VEGF双特异性抗体——依沃西单抗应用于临床,肺癌免疫治疗的2.0时代已然开启。


基于此,本文将分享一例典型病例,该患者诊断为右肺SMARCA4缺失型低分化癌,且伴STK11、KEAP1双突变,驱动基因阴性,属于难治型NSCLC。经综合评估,一线治疗使用依沃西单抗联合化疗方案,后接受依沃西单抗单药维持治疗。疗效评估显示,治疗2周期后,肿瘤病灶即迅速缓解达部分缓解(PR),患者生存得到极大改善,仍持续获益中。该病例由江苏省人民医院查王健教授进行分享,由江苏省人民医院苏梅教授进行点评,旨在为临床实践提供参考依据。

患者信息

患者:男,64岁,因“体检发现右上肺占位伴纵隔淋巴结肿大半月余”于2024年10月14日就诊。

既往史:吸烟史40年,20支/天,无药物过敏史,无其他既往病史。

辅助检查

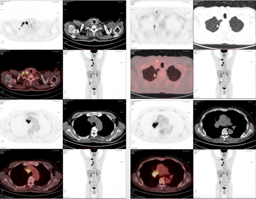
2024.9.27 PET-CT示:

◾ 1.右肺上叶尖段一不规则实性结节,牵拉胸膜,FG代谢增高;右侧下颈部、右侧锁骨区、右肺门(包括纵隔内第10R)及纵隔内第2R、3A组多发大小不等淋巴结,FDG代谢增高;左倒第9后肋及T12椎体溶骨性骨质破坏,FDG代谢增高;考虑右肺上叶周围型肺癌伴多发淋巴结、骨转移可能。

◾ 2.前列腺体积增大伴钙化,点状FDG代谢增高。

◾ 3.轻度脑萎缩。两肺及胸膜下多发肺气肿;两侧胸膜增厚。

◾ 4.多发椎体退行性变。

图1 2024.9.27 PET-CT结果

实验室检查


2024.9.29 病理检查:(右颈部淋巴结穿刺)低分化癌。

2024.10.1 免疫组化检查:(右颈部淋巴结穿刺)CK-pan(+),CK7(+),Napsin A(-),TTF-1(-,已重复),CK5/6(-),P63(-),P40(-),Syn(-),Nut(-),Ki67(60%+),CK20(-),Villin(灶+),结合HE切片,本例符合转移性低分化癌。

2024.10.1 病理检查补充:(右颈部淋巴结)肿瘤组织BRG1(-),INI-1(+,未见缺失),结合HE切片,本例免疫表型符合SMARCA4缺失型低分化癌。

NGS基因检测:KEAP1、STK11、CDKN2A、SMARCA4突变;PD-L1表达1%。

诊断

  • 右肺SMARCA4缺失型低分化癌IVB期NSCLC(cT1bN3M1C,多发骨转移);

  • 驱动基因阴性,PD-L1 TPS=1%,PS评分0分。

治疗方案及疗效评估

治疗经过

该患者为PD-L1低表达晚期NSCLC患者,属于SMARCA4缺失型低分化癌,存在STK11+KEAP1双突变,恶性程度高,预后不佳,当前尚无统一的标准治疗方案,一线治疗多采用免疫治疗联合铂类化疗。患者治疗意愿强烈,经综合考虑,选用依沃西单抗方案治疗。


  • 具体方案:依沃西单抗1000mg d1+紫杉醇胶束390mg d1 + 卡铂500mg d1,用药时间:2024.10.15、2024.11.13、2024.12.7、2024.12.30、2025.1.21、2025.1.18


  • 后予依沃西单抗1000mg单药维持治疗,用药时间:2025.04.13、2025.05.08、2025.06.03、2025.6.28、2025.7.21


疗效评估

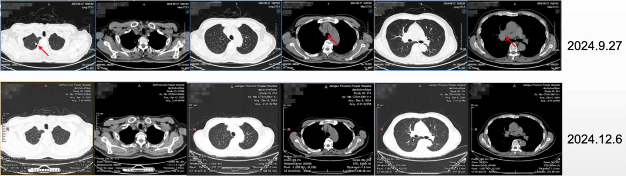
  • 治疗2周期后,2024.12.6复查CT,达部分缓解(PR)。

图2 治疗2周期后复查CT结果

  • 后持续规律治疗及随访,复查CT结果显示,病灶持续缓解。

图3 治疗11周期后复查CT结果

病例小结

该患者因“体检发现右上肺占位伴纵隔淋巴结肿大半月余”入院,综合辅助检查后,诊断为右肺SMARCA4缺失型低分化癌IVB期(cT1bN3M1C,多发骨转移),驱动基因阴性,STK11及KEAP1双突变,PD-L1 TPS=1%,PS评分0分。考虑传统免疫联合化疗方案在此类患者中疗效有限,“靶免一体”创新机制药物可能会为患者带来更好的疗效,经综合评估,2024年10月15日起,一线治疗选择了6周期依沃西单抗联合化疗方案,后使用依沃西单抗单药维持治疗。治疗2周期后病灶迅速缓解,疗效评估达PR,目前仍持续治疗中,截止最新随访时间(2025.11.06),PFS已超过1年。

专家点评

既往驱动基因阴性晚期NSCLC患者的一线治疗长期依赖PD-1/PD-L1抑制剂单药或联合含铂化疗方案,但传统免疫方案仍存在显著局限。数据显示,免疫治疗联合或不联合化疗的中位PFS普遍仅6-10个月,ORR为40%-60%,且约30%-50%患者面临原发耐药或快速进展的困境,长期生存面临考验,亟需更高效持久的治疗策略突破这一临床瓶颈[2]


本病例中患者具有40余年吸烟史、属于SMARCA4缺失型低分化癌伴STK11、KEAP1双突变,驱动基因阴性,且PD-L1为低表达,从PD-( L)1单抗治疗中获益有限。SMARCA4-dNSCLC具有低分化、侵袭性强、肿瘤体积较大、脉管侵犯、胸膜转移的病理特征,大多数SMARCA4-dNSCLC确诊时为IV期,具有较大的侵袭性肿瘤,Ki-67指数较高,患者预后较差,有数据显示中位OS仅7.8个月[3,4]。SMARCA4-dNSCLC的患者目前尚没有统一的治疗方案,目前主要的一线治疗方案是PD-( L)1单抗联合铂类化疗,生存获益有限[5]


依沃西单抗作为我国自主研发的全球首个PD-1/VEGF双特异性抗体,通过“肿瘤免疫激活”与“抗血管生成抑制”的一体化机制,为晚期NSCLC一线治疗提供了突破性的治疗选择。截至目前,已有多个研究证实了依沃西单抗方案在晚期NSCLC患者中的获益。


HARMONi-2研究是一项全国多中心、随机、双盲、注册性III期临床试验,旨在比较依沃西单抗与帕博利珠单抗在PD-L1阳性晚期NSCLC患者一线治疗中的疗效和安全性。结果显示,依沃西单抗组的中位PFS高达11.1个月,较对照组的5.8个月近乎翻倍(HR=0.51),ORR为50% vs. 39%,中位至起效时间(mTTR)为1.5m vs. 2.5m[1]。该研究是全球首个对比帕博利珠单抗取得阳性结果的Ⅲ期临床研究,具有重要的临床意义。

图4 HARMONi-2研究PFS结果:(A)全人群;(B)PD-L1 TPS≥50%;(C)PD-L1 TPS为1~49%;(D)鳞癌患者;(E)非鳞癌患者

AK112-201研究[6,7]则证实了依沃西单抗联合化疗在晚期NSCLC一线治疗中的疗效和安全性。结果显示,依沃西单抗联合化疗一线治疗非鳞NSCLC患者的ORR达54.2%,疾病控制率(DCR)达95.8%,中位持续缓解时间(mDoR)达到15.4个月。中位PFS为13.3个月,9个月PFS率为58.9%,9个月OS率为81.9%。依沃西依沃西联合化疗一线治疗鳞状NSCLC患者的ORR达71.4%,DCR达90.5%,mDoR达12.7个月;中位PFS为11.1个月,9个月PFS率为65.1%,9个月OS率是90.4%。安全性良好,未观察到接受治疗的脑转移患者发生颅内出血。

图5 AK112-201研究研究设计

此外,HARMONi-6研究对比了依沃西单抗联合化疗和替雷利珠单抗联合化疗一线治疗晚期鳞状NSCLC的疗效,亦取得了PFS的阳性结果;依沃西单抗组在PD-L1阳性及PD-L1阴性人群中,均显示出具有临床意义的PFS显著获益[8]


以上研究证实,依沃西单抗作为新型免疫治疗药物,相较于传统的PD-(L)1单抗而言,在疗效、安全性方面均有所提升。得益于“靶免一体”的创新机制,依沃西单抗不仅突破了传统免疫单抗的疗效瓶颈,避免了靶免联合治疗的毒性叠加问题,还通过协同作用提升了抗肿瘤效能。体外模拟研究证实,当微环境中存在VEGF-A时,依沃西单抗对PD-1的结合亲和力提升18倍以上;反之,PD-1的存在可将其对VEGF-A的结合能力增强4倍以上[9],以此达到增强疗效、减轻毒性的作用。

图6 依沃西单抗作用机制

基于依沃西单抗的创新机制和优异的疗效数据,在本病例中临床医生采用了依沃西单抗联合化疗方案,并以依沃西单抗单药进行维持治疗。该患者治疗2周期后肿瘤即快速缩小,疗效评估达到PR,且持续缓解,PFS已超过一年,仍在持续治疗中。印证了依沃西单抗在晚期NSCLC一线治疗中的临床价值,尤其为既往传统免疫疗效受限的难治型患者提供了新的治疗思路。


当前,依沃西单抗单药用于PD-L1表达阳性晚期NSCLC一线治疗的适应症已经获批,并成为2025版《CSCO非小细胞肺癌诊疗指南》[10]中针对驱动基因阴性晚期鳞状及非鳞状NSCLC一线治疗的Ⅱ级推荐方案。依沃西单抗引领的免疫2.0时代已经到来,我们期待未来更多研究数据的公布,进一步证实依沃西方案相较于传统免疫治疗方案的升级,为晚期NSCLC患者尤其是难治型NSCLC的治疗带来更多希望。

专家介绍

病例分享专家


查王健 教授

  • 江苏省人民医院呼吸科 副主任医师 医学博士

  • 江苏省医师协会呼吸医师分会呼吸放射与病理学组委员

  • 2009年Imperial college访问学者

  • 以第一作者在scientific reports, PLOS one,Allergy, Asthma & Immunology Research及中华结核和呼吸杂志发表论文多篇

  • 长期从事肺癌、肺部感染、哮喘、慢性阻塞性肺疾病及间质性肺疾病等呼吸系统疾病的临床诊疗工作,尤其擅长肺部影像诊断、肺部疑难病、气管镜介入治疗

病例点评专家


苏梅 教授

  • 江苏省人民医院呼吸内科 医学博士 主任医师 副教授

  • 中国医师协会睡眠专业委员会委员

  • 江苏省医学会呼吸分会睡眠学组委员

  • 中国睡眠研究会睡眠障碍委员会委员

  • 江苏省研究型医院学会胃食管反流病专业委员会

  • 主要从事呼吸系统疾病的诊治工作,对呼吸系统肿瘤、睡眠呼吸障碍性疾病具有丰富的诊治经验,发表文章40余篇,其中SCI文章9篇,主持国家重大专项课题1项,参与国家自然科学基金多项。

参考文献:

1.Xiong A, Wang L, Chen J, et al. Ivonescimab versus pembrolizumab for PD-L1-positive non-small cell lung cancer (HARMONi-2): a randomised, double-blind, phase 3 study in China. Lancet. 2025 Mar 8;405(10481):839-849.

2.   王婧怡,钟雨玲,邬麟.晚期非小细胞肺癌免疫治疗:研究进展和展望[J].肿瘤防治研究,2024,51(06):409-418.

3.Zhou P,Fu Y,Tang Y,et al.Thoracic SMARCA4-deficient tumors: a clinicopathological analysis of 52 cases with SMARCA4-deficient non-small cell lung cancer and 20 cases with thoracic SMARCA4-deficient undifferentiated tumor. PeerJ. 2024 Feb 16;12:e16923.

4.Liang X, Gao X, Wang F, et al. Clinical characteristics and prognostic analysis of SMARCA4-deficient non-small cell lung cancer. Cancer Med. 2023 Jul;12(13):14171-14182.

5.Dong J, Zhang J, Pan H, et al. SMARCA4-deficient NSCLC treated with first-line tislelizumab and fruquintinib achieved remarkable tumor regression: case report and literature review. Front Immunol. 2025 Apr 17;16:1521828.

6.eClinicalMedicine. 2023 Aug;62:102106.

7.2024 ELCC Abstract#68P.

8.https://www.akesobio.com/cn/media/akeso-news/20250423/

9.iScience. 2024 December 31. doi.org/10.1016/j.isci.2024.111722

10.中国临床肿瘤学会(CSCO)非小细胞肺癌诊疗指南2025.


回复

1

全部讨论(24)

内容很充实

2025-11-28 19:30:02

回复

0

确实收获颇丰

2025-11-28 21:10:01

回复

0

感到很有收获

2025-11-28 22:50:02

回复

0

值得学习

2025-11-29 00:00:02

回复

0

学到了不少

2025-11-29 00:20:02

回复

0

真的有帮助

2025-11-29 01:10:07

回复

0

感谢分享

2025-11-29 14:30:01

回复

0

感觉很棒

2025-11-30 02:00:02

回复

0

点赞

2025-12-01 00:40:01

回复

0

学到新知识

2025-12-01 02:00:03

回复

0

确实受益

2025-12-02 00:30:02

回复

0

非常同意

2025-12-03 01:50:12

回复

0

确实有帮助

2025-12-04 17:40:01

回复

0

确实受益

2025-12-05 06:10:01

回复

0

期待更多

2025-12-06 01:00:01

回复

0

学到新东西

2025-12-06 17:50:01

回复

0

很有意思

2025-12-07 07:00:01

回复

0

学到新知识

2025-12-07 18:50:01

回复

0

非常有帮助

2025-12-08 18:50:01

回复

0

真的好

2025-12-09 10:00:01

回复

0