肾癌

免疫治疗不是唯一答案:培唑帕尼在转移性肾癌中的真实疗效

学术进展

2025-12-13

研究前沿 | 值得关注的二线治疗晚期肾癌免疫联合方案——纳武利尤单抗+伊匹木单抗

学术进展

2025-11-29

SUO 2022 | 晚期前列腺癌的新药ONCT-534及ONCT-505研发势头强劲,未来可期!

学术进展

2025-11-29

SUO 2022 | 强强联合,PARPi有望携手舒尼替尼/依维莫司共创肾癌治疗新未来

学术进展

2025-11-29

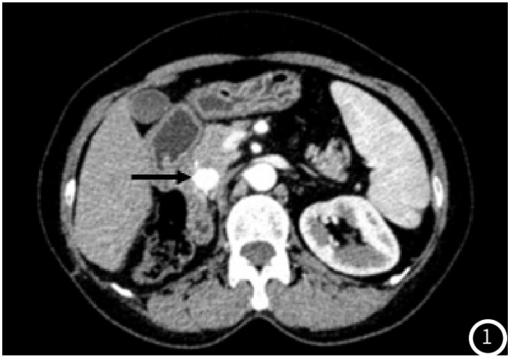
肾癌根治术后6年伴全胰腺转移一例

病例

2025-10-21

肾球旁细胞瘤2例

病例

2024-04-02

成人Xp11.2易位/TFE3基因融合相关性肾癌合并血管平滑肌脂肪瘤1 例

病例

2024-03-29

肾透明细胞癌转移至咬肌区1例并文献复习

病例

2024-02-20

复合式冷热消融系统治疗老年肾肿瘤中国专家共识(2025版)

指南

2025-08-08

NCCN临床实践指南:肾癌(2026.V1)

指南

2025-07-31

2025 专家共识:辅助免疫治疗后肾癌进展模式及后续治疗策略

指南

2025-04-09

肾癌免疫治疗中国专家共识

指南

2025-04-03

醋酸甲羟孕酮胶囊

本品用于不能手术、复发性或转移性激素依赖性肿瘤的姑息治疗或辅助治疗,如子宫内膜癌、肾癌、乳腺癌等。

注射用重组人干扰素α2b(假单胞菌)

本品可用于治疗下列病毒性疾病和肿瘤:慢性乙型、丙型肝炎,带状疱疹,尖锐湿疣,多发性骨髓瘤,毛细胞白血

注射用重组人干扰素α2a

1.治疗病毒性疾病:伴有HBV-DNA、DNA多聚酶阳性或HBeAg阳性等病毒复制标志的成年慢性活动

鲑降钙素鼻喷雾剂

1.骨质疏松症:(1)早期和晚期的绝经后骨质疏松症;(2)老年性骨质疏松症;(3)继发性骨质疏松症,