白血病

前沿简报丨联合治疗改写 R/R AML困境:PD-1抑制剂+阿扎胞苷+HAG 的安全治疗新探索

学术进展

2025-10-07

百家争鸣丨新药时代下,Ph+ ALL患者是否仍需异基因造血干细胞移植?

学术进展

2025-10-02

2025 iwCLL | Bexobrutideg(NX-5948)—— 一种新型BTK降解剂,在复发/难治性CLL中的应用

学术进展

2025-10-02

2025 CSH丨唐晓文教授:精进不休,融汇贯通,高危ALL移植全程化管理的多维突破与未来愿景

学术进展

2025-10-02

TBL1XR1/RARB融合基因阳性急性早幼粒细胞白血病1例

病例

2025-09-28

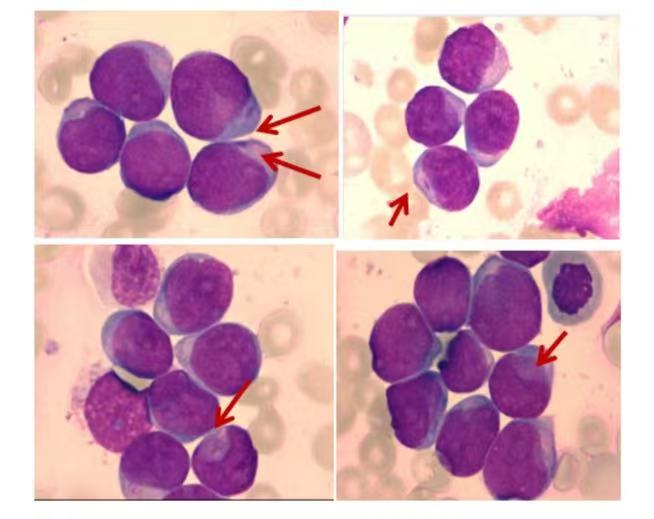
一例可见杯口细胞及类奥氏小体的急性B淋巴细胞白血病

病例

2025-09-17

以获得性血友病A为首发的慢性粒-单核细胞白血病1例并文献复习

病例

2025-08-22

平凡世界之镜中寻魔!一例血细胞分析检测发现AL案例分享

病例

2025-08-09

NCCN临床实践指南:急性髓性白血病(2026.V2)

指南

2025-10-10

NCCN临床实践指南:急性髓性白血病(2026.V1)

指南

2025-09-23

2025 ECIL建议:血液学恶性肿瘤患者或接受造血细胞移植患者的社区获得性呼吸道病毒感染(更新版)

指南

2025-09-18

2025 ECIL指南:恶性血液病患者及细胞治疗后艰难梭菌感染的管理

指南

2025-08-20

二溴甘露醇胶囊

对慢性粒细胞白血病有较好疗效。

二溴甘露醇胶囊

对慢性粒细胞白血病有较好疗效。

甲异靛片

主要用于治疗慢性粒细胞白血病。

注射用重组人干扰素α2a(酵母)

治疗多种病毒感染性疾病:慢性乙型肝炎、丙型肝炎、尖锐湿疣、带状疱疹、流感及其它呼吸道病毒性感染、慢性