呕吐

无吐坦途|超长效双通道止吐新星磷罗拉匹坦帕洛诺司琼革新CINV防治格局

学术进展

2025-10-02

无吐坦途|单剂长效,全程防护:看磷罗拉匹坦帕洛诺司琼如何攻克化疗相关性恶心呕吐

学术进展

2025-10-02

8部国内外近期儿科指南/共识,一文汇总!

学术进展

2025-10-02

恶心呕吐如何用药?常用止吐药物及特殊人群用药一文总结!|临床“药”点

学术进展

2025-10-01

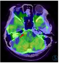
脑原发恶性黑色素瘤并发瘤卒中1例

病例

2025-10-09

某海岛驻点医院成功紧急转运1例减压病患者体会

病例

2025-10-09

先天性腭裂患者经皮肾镜碎石取石术的麻醉1例

病例

2025-10-08

应用脑脊液mNGS-CNV分析辅助诊断合并脑积水的脑膜癌病1例报告

病例

2025-09-18

2025 AGA临床实践指南:胃轻瘫的管理

指南

2025-09-23

肿瘤患者消化系统主要营养影响症状营养干预专家共识

指南

2025-08-26

2025 NASPGHAN指南:儿童周期性呕吐综合征的诊断

指南

2025-08-23

2025 意大利专家建议:乳腺癌治疗中德曲妥珠单抗相关不良事件的管理

指南

2025-07-25

盐酸雷莫司琼口内崩解片

化疗药物(如顺铂等)引起的消化道症状(恶心、呕吐)等。

西沙必利干混悬剂

全胃肠促进动力药。主要用于功能性消化不良,X线、内窥镜检查为阴性的上消化道不适,症状为早饱,饭后饱胀

盐酸帕洛诺司琼软胶囊

用于预防中毒致吐,化疗引起的急性恶心,呕吐。

盐酸帕洛诺司琼胶囊

预防中度致吐化疗引起的急性恶心、呕吐。