- 重度乙型肝炎发作与肝衰竭的评估与治疗策略|高分综述 乙型肝炎发作(Hepatitis B flare)是慢性乙型肝炎(CHB)的常见并发症,发表于Clin Mol Hepatol(IF:16.9)的一篇综述对其定义、评估和管理进行了更新。……
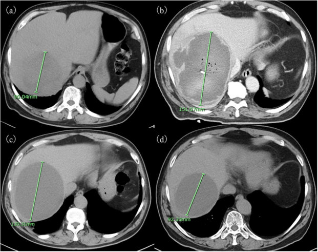
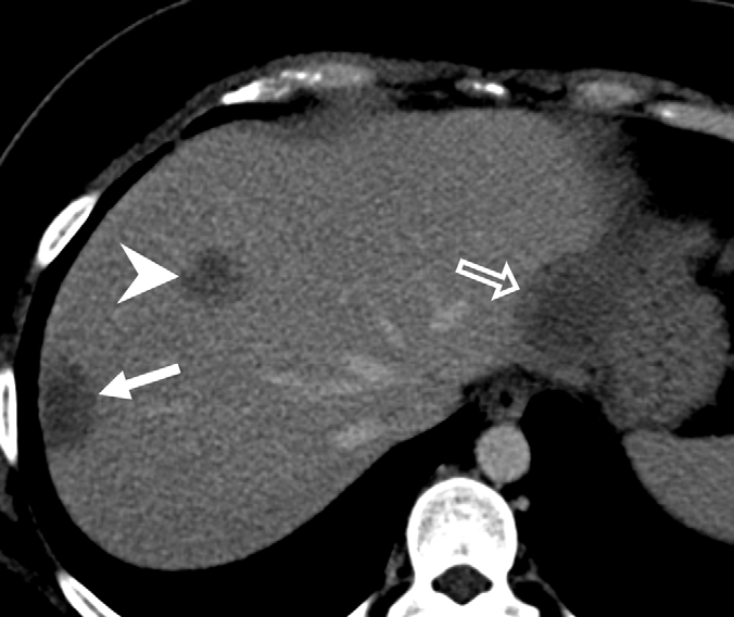
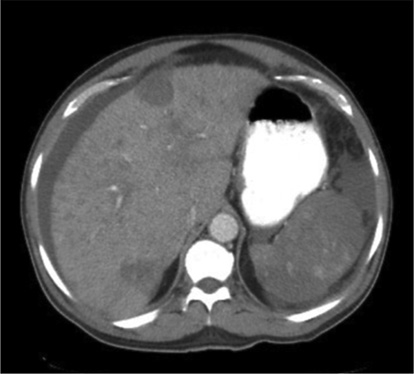
- 中年女性无症状肝脏多发病灶,原因为何? 医脉通-临床病例平台患者女,45岁,因影像学检查偶然发现肝脏多发病灶就诊。患者无相关症状,体格检查正常。……
- 家族性肝内胆汁淤积症如何诊疗?来看最新专家共识建议 近十年来,新的致病基因不断得到鉴定,影响临床表型的因素不断得到认识,也有新的疗法问世。……
- 专家论坛|刘厚宝:重视意外胆囊癌的规范诊疗 胆囊癌(GBC)是胆道系统最常见的恶性肿瘤,因早期症状隐匿、缺乏特异性筛查手段,多数患者确诊时已属中晚期,……
- 重磅!PBC瘙痒新药FDA获批,肝纤维化治疗迎新突破|肝注「药」闻 本文整理了近期新药研发进展。……
- eClinicalMedicine |儿童肥胖与脂肪肝:mHealth辅助的多层面生活方式干预最新进展 宁波大学附属第一院 张萍萍;北京大学公卫学院 王辉近日,一项发表于《eClinicalMedicine》题……
临床指南
-
CT引导介入诊疗围手术期护理管理专家共识
指南中国医药教育协会介入微创治疗专业委员会
-
乙型肝炎病毒相关肝细胞癌的全程化管理:感染科的作用与实践路径专家共识(2026版)
指南成都市生物医学信息学会肝脏疾病全程化管理专委会
-
成人肝移植受者新发恶性肿瘤临床诊疗指南(2026版)
指南中华医学会器官移植学分会