- 长效方案︱热点问答——第10期 长效守护,持久抑制: CAB+RPV LA方案多维度临床获益循证解析 ……
- 儿童/青少年耐多药结核病,诊断和治疗要点看这里! 儿童结核病的诊断面临许多挑战,包括非特异性体征和症状、细菌载量低以及难以收集足够的样本等。……
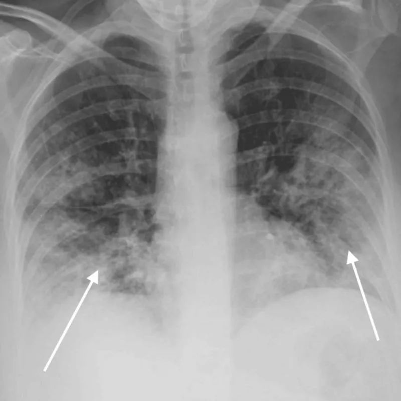
- 严重真菌病的诊断,BSMM建议更新~ 严重真菌病的死亡率和发病率在全球范围内均很高,部分原因是漏诊和延迟诊断。……
- 国家卫健委主任雷海潮接受人民日报专访:如何找准卫生健康工作的定位? 加快建设健康中国、促进人口高质量发展,事关中国式现代化全局,事关促进全体人民共同富裕。如何贯彻落实党的二十届四中全会精神、为推进中国式现代化筑牢健康和人口根基?记者采访了国家卫生健康委党组书记、主任雷海潮。……
- 长新冠患者的多系统临床表现,一文了解~ 了解长新冠患者的多系统临床表现,有利于制定多学科联合的康复策略。……
- CTLA-4单核苷酸多态性对接受CAR-T细胞治疗的DLBCL患者的结局影响 近期《Curr Oncol》杂志发表了一项单中心回顾性队列研究,旨在探讨接受FMC63抗CD19 CAR-T细胞治疗的DLBCL患者外周血单核细胞中CTLA-4 rs231775等位基因的分布情况,并根据患者的CTLA-4基因型背景,分析其临床特征及CAR-T细胞治疗结局.……
临床指南
-
单髁置换术后假体周围感染的抗生素使用专家共识(2025版)
指南国家骨科医学中心
-
综合医院实体化专病中心建设路径专家共识(2025版)
指南《综合医院实体化专病中心建设路径专家共识》编审委员会
-
2025 IDSA临床实践指南:COVID-19 的治疗和管理(更新版)—Pemivibart用于暴露前预防,Vilobelimab用于危重疾病,阿巴西普或英夫利昔单抗用于严重或危重疾病
指南美国感染病学会