- 咖啡因与IBD:不是“非黑即白”,这些人群需警惕风险飙升!|前沿速递 近日,发表在J Gastroenterol Hepatol上的一项研究通过系统综述和荟萃分析,探讨了咖啡因摄入与IBD风险之间的关系。……
- Gut Microbes:补充内源性健康肠道代谢物可逆转IBD患者粪便内容物诱导的体外和离体上皮功能破坏 该模型系统评估了IBD肠道微环境对上皮屏障、炎症及能量代谢的特异性破坏,并从中筛选出能够逆转损伤、促进修复的关键代谢物。……
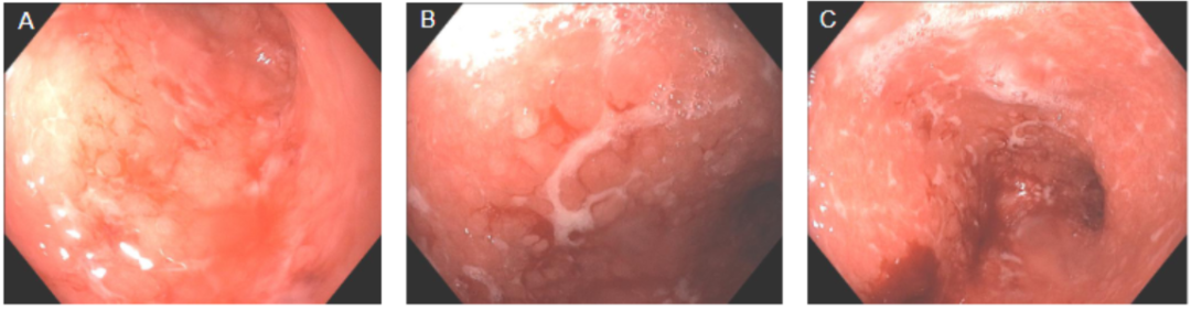
- 消化性溃疡怎么治?除了抑酸,这些诊治细节不容忽视!|图表总结要点 为帮助临床医师对PU进行准确、合理的诊断与治疗,《消化性溃疡中西医结合诊疗专家共识(2025年)》主要从中西医角度对PU的认识、诊断、治疗等方面入手,对PU中西医结合诊疗形成的主要观点进行总结,为临床提供参考。……
- Cell Rep Med:肠道准备可促进肠道内病原体定植和易位并加重炎症 本研究旨在探讨结肠镜检查前的肠道准备对肠道微生物群与肠道微环境的作用,并阐明在IBD背景下肠道准备对疾病发展的影响。……
- 【论著】粪钙卫蛋白在溃疡性结肠炎内镜活动度评估中的价值及与常用炎症指标的比较分析 溃疡性结肠炎(ulcerative colitis,UC)是一种慢性复发性的肠道炎性疾病。随着 UC 的疾病进展,患者常出现营养不良、贫血等并发症,严重影响患者的生活质量。……
- 从被动应对到主动预防:2025炎症性肠病研究进展年度盘点——“3P”框架重塑疾病防控格局 2025年,炎症性肠病(IBD)研究发生了关键性转变,研究重心从治疗管理逐步转移至预防领域。新近证据强调了预防(Prevention)、前期诊断(Pre-diagnosis)与多方协作(Participation)构成的“3P”框架,将重塑未来IBD管理格局。……
临床指南
-
NCCN临床实践指南:胃癌(2026.V2)
指南美国国家综合癌症网络
-
NCCN临床实践指南:食管和食管胃交界部癌(2026.V2)
指南美国国家综合癌症网络
-
脓毒症胃肠功能障碍多民族医诊疗专家共识
指南中国民族医药学会急诊医学分会