全部病例

罕见的胃鳞状细胞癌伴肝脏多发转移!如何治疗?
病史摘要:66岁男性患者,有吸烟史,无恶性肿瘤家族史。主诉胃胀,偶尔伴恶心呕吐。既往情况未提及,现因上述症状入院检查。 诊疗过程:入院后,胃镜及活检提示低分化鳞癌,免疫组化等检查明确相关指标。体格检查发现双侧锁骨异常,影像学检查显示胃底和体壁增厚、多处淋巴结肿大及肝转移等,诊断为胃底和体部低分化鳞状细胞癌伴转移。先后接受FOLFOX化疗联合纳武利尤单抗治疗、颈部淋巴结放疗联合纳武利尤单抗维
困扰患者的睾丸肿块,根源竟是三年前的一场旧疾?
病史摘要:59 岁男性,十余年前行左踝关节囊肿切除术,约 20 年前行结扎术。因左侧睾丸肿块一年多入院。三年前因上腹疼痛不适就诊,胃镜发现胃角溃疡,活检提示低分化腺癌(印戒细胞癌),后行腹腔镜下远端胃切除术等,术后病理确诊为中低分化远端胃腺癌。 诊疗过程:术后接受 SOX 方案辅助化疗,因不良反应后续单药替吉奥胶囊治疗,还接受过放疗。此次入院查体左侧睾丸肿大等。实验室检查 CA19-9、C
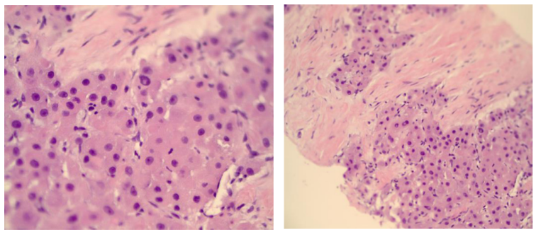
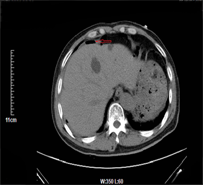
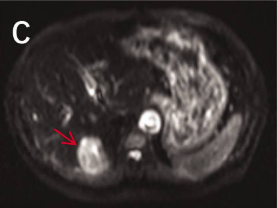
三重罕见集于一例:胰腺异位肝组织恶变为晚期纤维板层肝癌的诊疗与思考
病史摘要:30岁男性患者,有大量饮酒史,无吸烟及非法药物使用史,否认胃肠道恶性肿瘤等家族史。因精神状态改变被送至急诊科。 诊疗过程:初始检查发现中度转氨酶升高,尿毒物筛查大麻素阳性,多种病毒血清学阴性。影像学检查发现孤立性左肾、输尿管结石伴急性肾损伤及腹腔肿块等。肿瘤标志物大多正常,LDH升高等。CT引导下活检,病理及免疫组化有相应表现。初步诊断为起源于胰腺的异位肝细胞癌伴广泛转移,先接受
一例小原发灶、大转移灶的“反差”病例启示,揭开肺LCNEC肝转移的诊疗密码
病史摘要:60余岁男性患者,有冠状动脉钙化和良性前列腺增生病史。2024年中期常规体检发现肝占位性病变,无腹痛、体重下降、呼吸功能障碍等症状。 诊疗过程:胸部CT发现右肺上叶孤立性毛刺状结节,腹部MRI提示肝病灶可能为肝细胞癌,PET-CT显示多处高代谢活性。肿瘤标志物CEA显著升高。行肝段切除术,病理提示肺来源转移性神经内分泌癌;后行右肺上叶部分切除术,确诊原发性肺大细胞神经内分泌癌伴脏
靶向治疗耐药后NSCLC竟转化成SCLC,该如何提前干预?
病史摘要:33 岁女性,无吸烟饮酒及特殊家族史,因“活动后胸闷、气短”于 2020 年 9 月 4 日就诊。胸部高分辨率 CT 提示左下叶基段肿块阴影伴左肺散在小结节。心包积液和胸腔积液涂片、支气管镜病理均证实为左下叶基底段腺癌,基因检测示 EGFR 外显子 19 突变和 TP53 突变,临床诊断左肺腺癌(T3N3M1a IVA 期,EGFR ex19del+,TP53+)。 诊疗过程:一
非吸烟者体检发现罕见肺癌?这种特殊类型如何早期识别?
病史摘要:67岁非吸烟女性,因常规体检发现右肺下叶占位就诊。10年前曾患乳腺癌,行部分乳房切除术,无复发,无吸烟及二手烟暴露史。 诊疗过程:体格检查无明显异常,血清肿瘤标志物无异常。胸部CT显示右肺下叶30mm肿块,PET-CT提示病灶轻度FDG摄取,无转移。支气管镜提示恶性肿瘤,行胸腔镜下右肺下叶切除术+纵隔淋巴结清扫。病理检查宏观见息肉样肿块突入支气管腔,组织学呈实性基底样细胞巢等特征

叶建明

杭州市第一人民医院

某地中医院、人民医院及医大附属医院随访了8年,终于拖成了低分化浸润性腺癌!
病史摘要:患者主因“检查发现肺结节8年余”入院。八年前胸部CT提示左肺下叶少许增殖灶,此后规律在多家医院复查。近期在当地医院检查发现左肺下叶背段结节伴空洞,遂来院进一步诊治。患者近期有咳嗽咳痰,无其他不适,发病以来精神、胃纳、睡眠、二便及体重无明显改变。 诊疗过程:体格检查未提及。多次胸部CT检查,从2017年至2025年,病灶从磨玻璃结节逐渐发展为实性结节伴空洞,呈现典型浸润性癌影像表现

叶建明

杭州市第一人民医院

混合磨玻璃结节有明显实性成分伴血管征,风险是否就大?是否必得尽快手术?
病史摘要:患者主因“检查发现肺部阴影5年”就诊。5年前当地医院体检发现肺部结节,无不适症状。1周前于杭州市肿瘤医院检查,右肺上叶后段结节倾向于MIA或AIS,余两肺微小结节建议年度复查,附见脂肪肝、左肾结石。患者起病来一般情况良好,有高血压病史10年,口服药物控制。 诊疗过程:查体未提及。影像显示2021 - 2025年结节有变化,考虑早期肺癌可能性大,鉴别诊断包括支气管腺瘤、原位癌伴肺泡
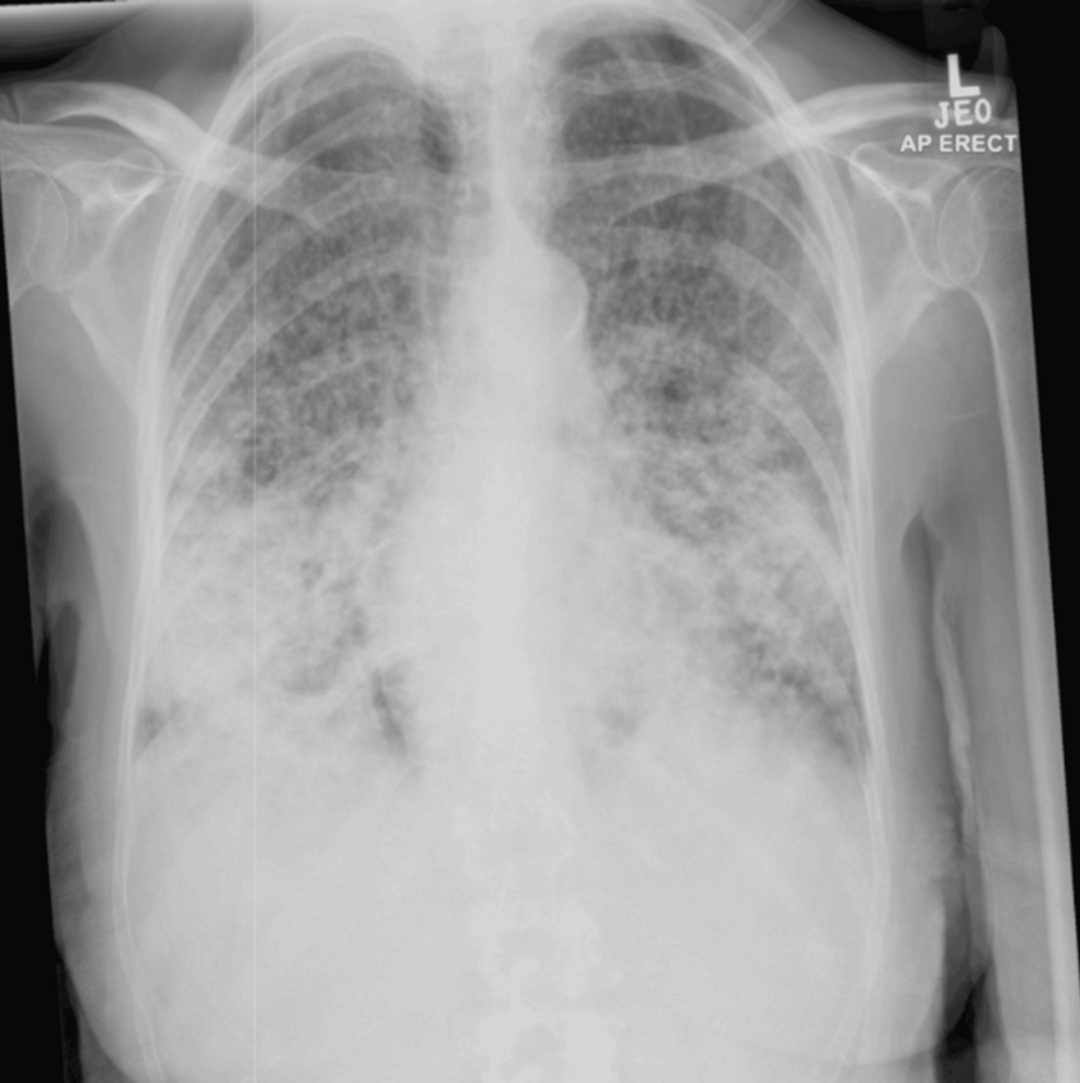
小细胞肺癌的隐匿杀机:当肿瘤“攻陷”肠道如何逆转局势?
病史摘要:58岁男性患者,有40包年吸烟史及长期饮酒史。因反复下腹痛6个月于2021年4月就诊外院,检查提示小肠占位性病变疑似恶性肿瘤,后转至我院进一步诊治。 诊疗过程:辅助检查包括腹部、胸部CT及穿刺活检,诊断为广泛期小细胞肺癌伴小肠及淋巴结转移。初始行IC方案化疗,期间出现不完全性肠梗阻、发热等情况。后突发胃肠道穿孔和弥漫性腹膜炎,行剖腹探查+回肠切除+吻合术,术后病理为肠坏死。术后继
罕见ROS1融合阳性ES-SCLC治疗进退维谷,靶向治疗是救命稻草 or 免疫治疗才是终极答案?
病史摘要:患者为 70 岁女性,因持续干咳、气促 1 个月入院。有 20 年高血压病史,规律服用苯磺酸氨氯地平,无吸烟史及癌症家族史。 诊疗过程:2023 年 1 月 PET 扫描提示肿瘤转移,右侧颈部淋巴结活检确诊为转移性小细胞癌,结合资料诊断为 ES-SCLC。基因检测发现 ROS1 融合及多个基因突变。一线口服克唑替尼 3 周后疾病进展,二线采用斯鲁利单抗联合依托泊苷和顺铂治疗 4