全部病例

汤善宏

中国人民解放军西部战区总医院

汤善宏教授:从1例长达3年反复恶心呕吐、乏力纳差的探秘之旅看疑难病例在多学科诊治与临床思维培养中的价值
病史摘要:75岁老年女性,主因“反复恶心、呕吐3年,再发加重3天”入院。3年前首次出现相关症状,伴头晕、乏力等,口服补钠好转;6月前复发,中药治疗欠佳;5月前突发意识障碍,补糖、升压、纠正电解质后好转;3天前受凉后再发。既往3月余前行胆囊切除术,无吸烟、饮酒史。 诊疗过程:入院查体生命体征平稳,无明显阳性体征。辅助检查示血钠重度偏低,血浆渗透压降低,为低渗性低钠血症。

汤善宏

中国人民解放军西部战区总医院

乙肝肝硬化患者合并肝门部胆管狭窄致梗阻性黄疸罕见病因1例
病史摘要:患者为 38 岁男性,因“发现乙肝 1 月余,腹痛 1 天”入院。1 月前诊断为“失代偿期肝硬化(脾大、腹水、门脉高压、食管静脉曲张)乙肝”,经抗 HBV、保肝治疗后症状缓解。入院前 1 天突发剑突下疼痛,进食后稍缓解,入院当日腹痛加重,伴恶心、呕吐。有吸烟及不规律饮酒史,现已戒酒,母亲因“肝硬化”去世,无慢性基础疾病、手术史、过敏史及有毒有害物质接触史。 
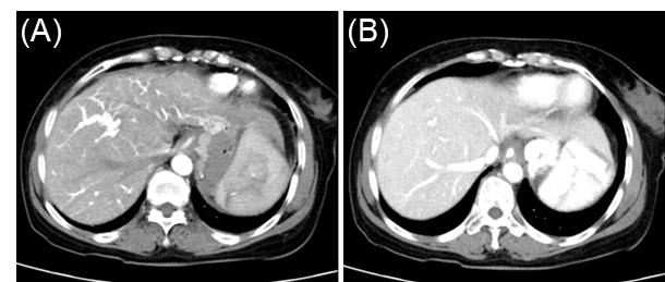
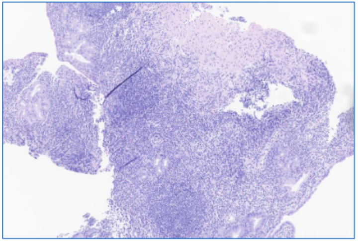
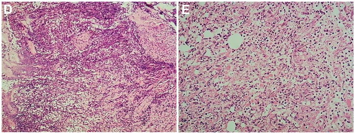
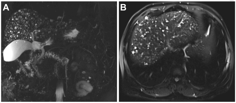
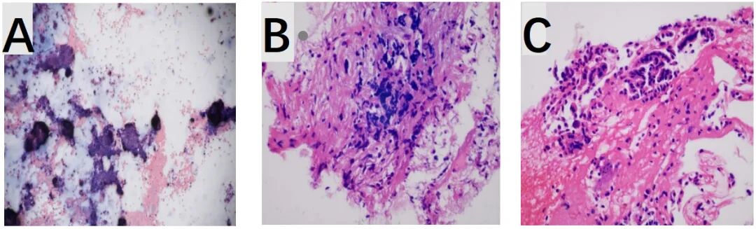
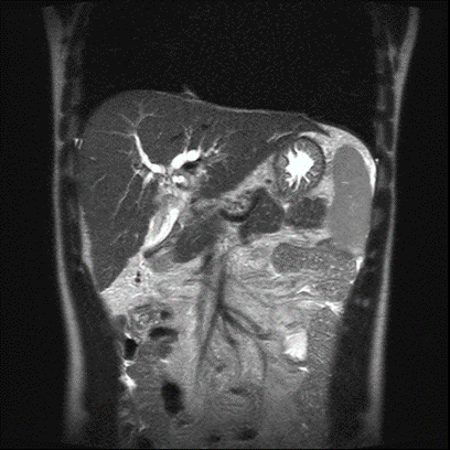
年轻女性多发肝占位:特殊的“棒棒糖”征象指引了怎样的罕见真相?
病史摘要:33岁女性患者,数月来右上腹间歇性不适,伴早饱、腹胀及恶心,症状反复后就诊。 诊疗过程:体格检查无明显异常。实验室检查肝功能及肿瘤标志物正常,尿妊娠试验阴性。腹盆部增强CT见肝内3个不明病灶;腹部MRI显示病灶有包膜皱缩、弥散受限等特征,出现“棒棒糖征”。主要诊断为肝上皮样血管内皮细胞瘤(EHE),鉴别排除转移瘤等疾病。经皮穿刺活检病理及免疫组化确诊EHE。随访8个月病灶大小
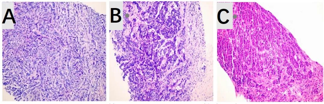
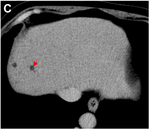
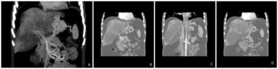
影像学提示病灶增大,肿瘤指标却离奇下降?警惕罕见胰腺癌诊疗中的“烟雾弹”
病史摘要:61 岁男性患者,因黄疸 10 天于 2024 年 8 月就诊,不伴其他消化道症状。既往有控制良好的高血压病史,无其他慢性疾病史及癌症家族史。 诊疗过程:入院影像学检查发现胰头占位,血清 AFP 和 CA19 - 9 升高,MDT 评估为可切除胰腺癌,行根治性胰十二指肠切除术,术后病理确诊为胰腺腺泡细胞癌。术后出现胰瘘、腹腔感染及新冠感染等并发症后康复。2024 年 11 月
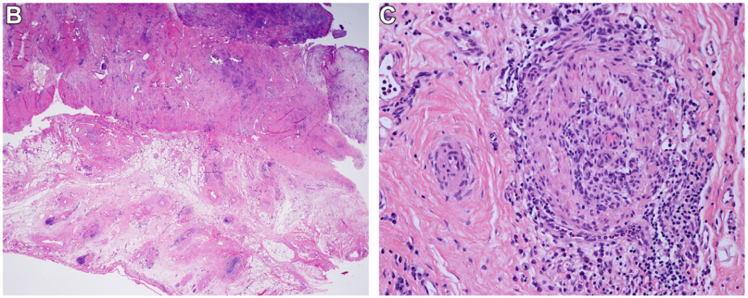
尿崩症+黄色瘤缠身,57岁男性硬化性胆管炎的罕见元凶,发病率不足百万分之一!
病史摘要:患者为 57 岁男性,因黄疸、间歇性发热及体重减轻 7 个月就诊。既往有结核性胸膜炎、高尿酸血症、肺腺癌肺叶切除术、高脂血症、冠心病等病史。10 个月前有一过性多饮多尿,3 个月前眼周及口周出现黄色皮疹并蔓延。 诊疗过程:血液检查有轻度贫血、胆汁酶及 IgG4 轻度升高。MRCP 显示肝内胆管扩张等,内镜检查未发现恶性病变。初步疑诊 IgG4 相关性硬化性胆
腹泻3年+小肠溃疡+黏膜萎缩,大剂量泼尼松治疗无效,这种极易漏诊的罕见病如何破局?
病史摘要:63岁男性患者,有3年慢性腹泻史,近期加重,每日排便4 - 8次,伴体重减轻5kg。诊疗过程:查体见消瘦、肠鸣音亢进,BMI 16.4kg/m²。实验室检查有多项异常,腹部CT见腹膜后血管迁曲及肠系膜淋巴结肿大,结肠镜示右半结肠炎,PET - CT示结肠炎症和轻度高代谢淋巴结,小肠镜见多发溃疡等。排除乳糜泻等疾病,血清蛋白电泳提示M蛋白水平升高。初始经验性治疗效果不佳

汤善宏

中国人民解放军西部战区总医院

汤善宏教授:平原进入高原致血栓形成相关布-加综合征及门脉血栓复杂门脉高压病例分享
病史摘要:30岁男性,因“上腹不适6月,腹胀20天”入院。6月前无诱因出现上腹部不适、进食后腹胀,外院胃镜示反流性食管炎,肝功异常,对症治疗缓解。20天前出现全腹胀、黄疸、食欲降低、双下肢水肿。既往青霉素过敏,有吸烟、饮酒史,曾长期在高原工作。 诊疗过程:入院查体生命体征平稳,全身皮肤巩膜黄染,腹部膨隆,移动性浊音阳性。辅助检查提示布加综合征、肝硬化等。诊断为慢加急性
1月3次住院!61岁男性反复发热腹痛,竟揪出百万分之一的罕见消化疾病
病史摘要:61岁男性患者,因反复发热和右上腹痛1个月内3次住院。首次因发热、右上腹轻度疼痛入院,血培养检出大肠埃希菌;第二次出院4天后因高热、右上腹轻度疼痛再次入院,血培养仍为大肠埃希菌;第三次出院3天后因高热、右上腹痛加重入院,血培养依旧是大肠埃希菌。 诊疗过程:首次及第二次入院均用哌拉西林 - 他唑巴坦治疗,第三次入院实验室检查炎症指标变化大,血培养仍为大肠埃希菌
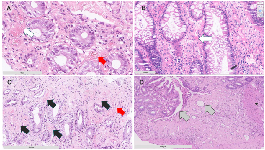
八旬老太反酸腹泻迁延不愈,PPI治疗无效?层层剥茧终揭罕见胃病元凶!
病史摘要:82 岁女性患者,有慢性肾脏病、冠状动脉疾病等多种既往病史。因反酸症状加重伴慢性腹泻就诊,自述长期反酸,近几年加重,伴有慢性腹泻、非自愿体重减轻,腹泻为稀便、无血便、间歇性发作。曾拟诊胃食管反流病及混合型肠易激综合征,用 PPI 等治疗效果欠佳。 诊疗过程:辅助检查:多次食管胃十二指肠镜、结肠镜、腹部及盆腔增强 CT 等检查,胃活检见中度慢性炎症伴上皮反应性
造血干细胞移植术后腹痛+黏液血便:这个极易误诊的肠道“隐形杀手”,千万别忽视!
病史摘要:患者为 36 岁男性,主诉持续性腹痛 5 个月,伴黏液血便 1 个月,后进展为不完全性肠梗阻。3 年前确诊急性 B 淋巴细胞白血病,并行异基因造血干细胞移植,移植后发生累及口腔及皮肤的急性移植物抗宿主病,使用环孢素、芦可替尼治疗至腹痛发作。 诊疗过程:实验室检查示 D - 二聚体及超敏 C 反应蛋白升高,其余正常。结肠镜见乙状结肠及直肠黏膜充血等改变,CT