全部病例

单梦轩 、 叶伟

南京市第二医院 、 南京市第二医院

警惕免疫抑制陷阱——自身免疫性肝炎激素治疗并发PCP 1例 | 病例集萃
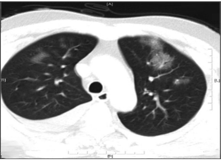
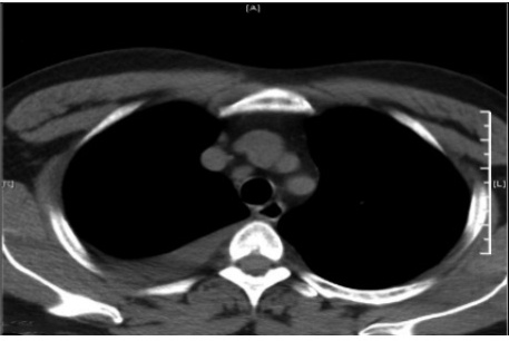
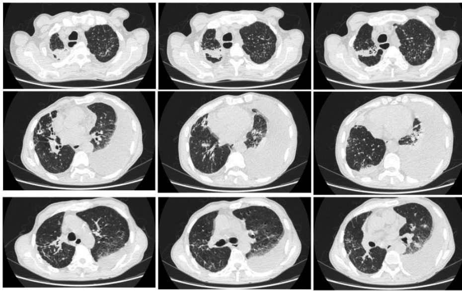
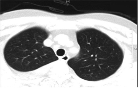
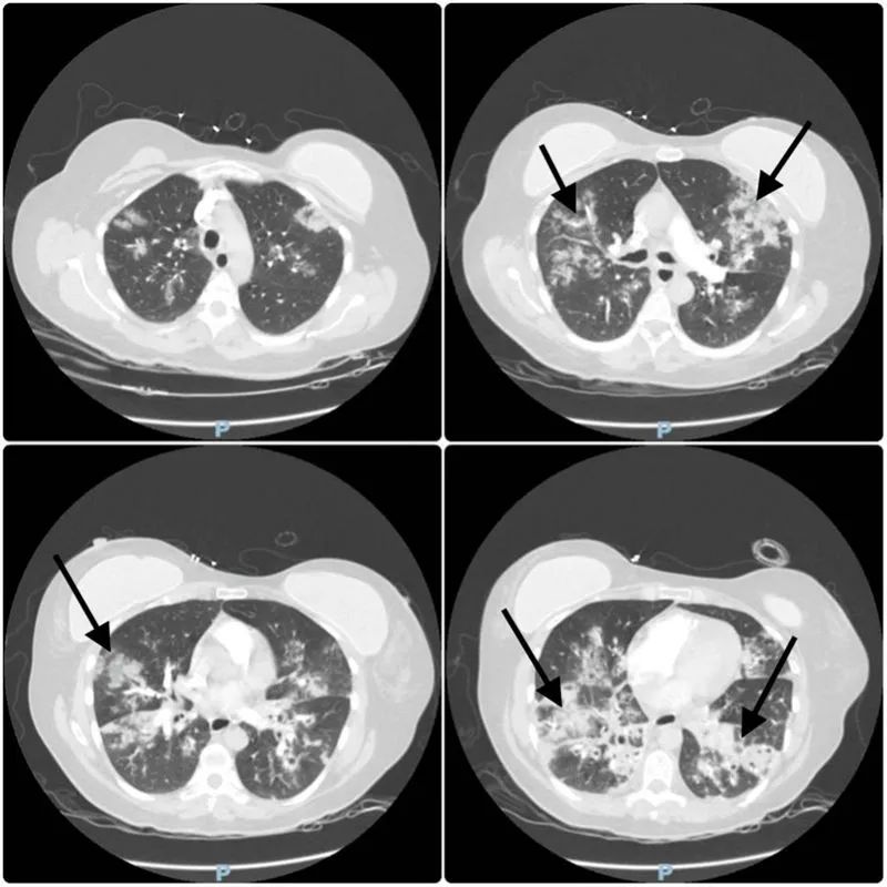
病史摘要:70 岁男性患者,因“反复肤黄尿黄 10 年余,咳嗽、胸闷 3 天”入院。既往有高血压、糖尿病史,2015 年服中成药后出现肤黄尿黄、肝功能异常,2024 年外院 MR 提示肝硬化,2025 年 4 月症状加重,多种指标异常,加用 UDCA 治疗;5 月我院诊断自身免疫性肝炎,予甲泼尼龙及吗替麦考酚酯治疗。此次入院前 3 天出现全身无力、头晕、咳嗽、胸闷。 诊疗过程:入院查体生命
仅因“肿痛”4天便引发感染性休克,这种人体内常见的“潜伏者”如何识破?
病史摘要:患者为78岁男性,主诉阴囊持续肿胀伴疼痛4天。4天前无诱因出现阴囊肿痛,伴畏寒2天,曾用哌拉西林他唑巴坦抗感染治疗无效且症状加重,阴囊皮肤坏死。既往有冠心病、高血压、2型糖尿病,平素便秘、痔疮出血,4年前曾有类似右侧阴囊肿痛未治疗,否认近期旅游及外伤史。 诊疗过程:查体见患者委靡,阴囊大部分组织坏死、感染伴恶臭,阴茎水肿。实验室检查示白细胞等多项指标异常。阴囊超声及腹部X线有相应
免疫功能正常者肺炎球菌性心肌炎,你见过吗?
病史摘要:18 岁免疫功能正常男性,主因发热 3 天伴寒战、不适就诊,2 日前出现右侧胸痛、咳绿色痰。无药物使用史。 诊疗过程:入院查体有发热、心动过速、低血压、呼吸急促,听诊有右侧湿啰音和心包摩擦音。心电图正常。实验室检查白细胞等多项指标升高。胸部 X 线有异常。先经验性用阿莫西林 - 克拉维酸、庆大霉素治疗,血培养出肺炎链球菌,药敏后将抗生素升级为左氧氟沙星,同时用比索洛尔、雷米普利心
表现为肠胃炎的脑膜炎球菌病,你见过吗?
病史摘要:29 岁男性,既往体健。主因腹泻、呕吐和腹痛 1 天就诊,发病来约 13 次水样便,伴脐部绞痛,呕吐 4 次,有低热,饮食正常,密切接触者无类似症状,无黄疸等病史,无烟酒、旅行及近期抗生素使用史。 诊疗过程:入院体检呈病态、有脱水迹象,生命体征基本正常,腹部柔软、脐部轻压痛。初始实验室检查多项指标异常。以肠胃炎合并脓毒症收入院检查,开始经验性用头孢曲松并静脉补液纠正电解质紊乱。第
警惕,无明显危险因素的甲流患者也可发生急性呼吸窘迫综合征!
病史摘要:52 岁女性,主因严重突发性呼吸困难、胸部不适、咽喉疼痛就诊。就诊前一周有流涕、咳嗽等症状,前一天因咽喉疼痛加重就诊,甲型流感阳性,对症治疗及用奥司他韦后出院。既往有血脂异常、偏头痛、两年前轻微创伤性颅内出血(保守治疗无后遗症)。 诊疗过程:此次就诊呼吸急促、心动过速、血氧饱和度下降,听诊双侧进气良好伴弥漫性干啰音。动脉血气提示呼吸性碱中毒和缺氧,胸部 X 线和 CT 显示双侧斑
EB病毒感染相关的非外伤性脾破裂,你见过吗?
病史摘要:16 岁女性,既往体健。主因急性腹痛、呕吐、腹泻及全身症状 24 小时急诊就诊。就诊前 5 天出现咽部红斑及右侧颈后淋巴结病变,曾疑似病毒性胃肠炎门诊治疗。24 小时后因急性腹痛伴出汗、心动过速再返急诊科,候诊时近乎晕厥发作,生命体征提示血流动力学不稳定。 诊疗过程:腹部查体广泛性疼痛,以左上腹为主,伴肌卫等。实验室检查示贫血、白细胞增多、转氨酶升高等。腹部 CT 显示腹腔游离液
头孢曲松可导致血小板减少,你见过吗?
病史摘要:61岁男性,因腹痛加重1天急诊就诊。既往有高血压、心力衰竭、房颤(用阿哌沙班治疗)、酒精使用障碍。此次腹痛急性发作,局限上腹部,向背部放射,伴恶心、多次非胆汁非血性呕吐,无呕血、黑粪、腹泻或便秘,否认发热等其他不适,近期有饮酒史,无血小板减少症等病史。 诊疗过程:入院体检生命体征平稳,上腹部轻压痛。实验室检查脂肪酶升高,腹盆CT提示急性胰腺炎。治疗中出现严重戒断症状转MICU,后
青少年腹痛、发热和黄染,如何诊断?
病史摘要:16 岁女性,既往体健。主因弥漫性腹痛伴全身疲劳、发热、皮肤黄染 3 日就诊。 诊疗过程:入院查体体温 40°C,心动过速,腹部轻度腹胀,双侧上腹部压痛伴肌卫,墨菲氏征阳性。实验室检查提示结合性高胆红素血症、肝酶升高、贫血无白细胞增多。考虑急性非结石性胆囊炎或上行性胆管炎,用哌拉西林 - 他唑巴坦治疗。腹部超声和 CT 显示胆囊壁增厚、中度腹水等。EBV 定量 PCR 阳性,其他
警惕流感后的细菌感染
病史摘要:62岁女性,主因鼻塞、咳嗽、流涕伴右侧胁腹痛一周急诊就诊,有2型糖尿病、既往卒中、高血压病史,未接种流感、肺炎球菌及COVID-19疫苗。首次就诊仅接受支持性治疗后出院,一天后因严重右侧胸膜炎性胸痛及右侧胁腹痛再次急诊。 诊疗过程:入院初步检查神志清、血流动力学稳定等,后出现发热等异常。实验室检查白细胞明显升高、乳酸酸中毒,脑脊液中性粒细胞增多等且肺炎链球菌PCR阳性。胸部CTA
罕见,布鲁氏菌病累及肝脏
病史摘要:58 岁女性,既往体健。主因发热、下腹疼痛不适一周就诊,初诊时有轻度发热、心动过速、白细胞增多。 诊疗过程:初诊体格检查发现下腹部压痛,尿液有白细胞,肝功能检查肝酶轻度升高,腹部影像提示轻度肝脂肪变性,初诊尿路感染,予头孢氨苄后出院,初次血培养阴性。5 日后血培养发现马耳他布鲁氏菌,患者症状加重,再次血培养仍为布鲁氏菌,肝酶显著升高。确诊布鲁氏菌病,继发肝酶升高,予多西环素和庆大