全部病例

12岁患儿顽固性蛋白尿,为何常规免疫荧光检查竟无所获?
病史摘要:12岁西班牙裔女性患者,2022年确诊全身型幼年特发性关节炎(sJIA),接受托珠单抗治疗后病情控制良好。2023年(sJIA诊断后1.5年,病情稳定11个月时)首次出现蛋白尿,2024年尿蛋白/肌酐比值(UPC)持续在1 - 1.5 mg/mg。 诊疗过程:体格检查发现患者血压正常。实验室检查显示UPC持续异常,血清补体水平正常,抗核抗体、抗双链DNA抗体阴性。肾脏超声未见
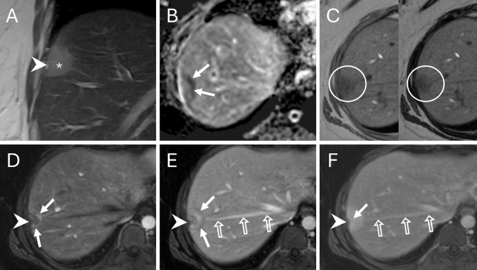
年轻女性多发肝占位:特殊的“棒棒糖”征象指引了怎样的罕见真相?
病史摘要:33岁女性患者,数月来右上腹间歇性不适,伴早饱、腹胀及恶心,症状反复后就诊。 诊疗过程:体格检查无明显异常。实验室检查肝功能及肿瘤标志物正常,尿妊娠试验阴性。腹盆部增强CT见肝内3个不明病灶;腹部MRI显示病灶有包膜皱缩、弥散受限等特征,出现“棒棒糖征”。主要诊断为肝上皮样血管内皮细胞瘤(EHE),鉴别排除转移瘤等疾病。经皮穿刺活检病理及免疫组化确诊EHE。随访8个月病灶大小
影像学提示病灶增大,肿瘤指标却离奇下降?警惕罕见胰腺癌诊疗中的“烟雾弹”
病史摘要:61 岁男性患者,因黄疸 10 天于 2024 年 8 月就诊,不伴其他消化道症状。既往有控制良好的高血压病史,无其他慢性疾病史及癌症家族史。 诊疗过程:入院影像学检查发现胰头占位,血清 AFP 和 CA19 - 9 升高,MDT 评估为可切除胰腺癌,行根治性胰十二指肠切除术,术后病理确诊为胰腺腺泡细胞癌。术后出现胰瘘、腹腔感染及新冠感染等并发症后康复。2024 年 11 月

叶建明

杭州市第一人民医院

我们切了个结节,结果病理是不典型增生!回头再看这样的病灶到底该不该手术?
病史摘要:患者主因“检查发现肺部阴影3月余”就诊。3月余前当地医院体检胸部CT发现右肺上叶磨玻璃结节,大小约8mm*7mm,无明显症状,未治疗。2025年7月5日复查大致同前,建议手术,现患者为求进一步诊治来院,拟“肺部阴影”收入院。起病以来,患者神志清,精神、胃纳、睡眠可,二便正常,体重无明显变化。诊疗过程:查体及其他辅助检查未提及。影像显示右上叶混合密度结节,有实性成分,边

叶建明

杭州市第一人民医院

发现才5天的肺结节为何就考虑必为肺癌?怎样的腺癌不必基因检测?
病史摘要:患者主因“发现肺部占位 5 天”入院。5 天前体检肺部 CT 发现肺结节,至我院复查胸部 CT 提示右肺中叶部分实性结节,待排肿瘤性病变。有咳嗽咳痰、乏力纳差症状,无痰中带血等不适。既往有 3 年余高血压病史,最高血压 140/80mmHg。 诊疗过程:体格检查未提及。PET-CT 检查考虑右中叶结节恶性可能性大,纵隔与肺门淋巴结炎性可能性大。气管镜病理确诊
当狼疮肾炎「伪装」成胃病:25岁女性患者的临床特征与病理启示
病史摘要:25 岁已婚女性,无既往病史。主因疼痛性口腔溃疡、呕吐、皮疹、疲劳和体重减轻就诊。近一个半月有口腔溃疡及吞咽困难,曾按咽炎治疗,持续呕吐,口服阿育吠陀药物后出现皮肤色素沉着病变,因药物性皮炎多次住院。存在食欲下降、疲劳、体重减轻,四个月前有足背水肿后自行消退。无家族癌症或血液病史。 诊疗过程:体格检查见体型瘦弱,有脱发、足背水肿、多处色素沉着病变及口腔念珠菌病,生命体征平稳,腹部

叶建明

杭州市第一人民医院

肺癌合并冠心病多支病变,妥协做了楔形切除,结果病理低分化!怎么办?
病史摘要:75 岁患者,主诉发现右肺占位 3 月余,确诊右肺恶性肿瘤 2 月余。3 月前因发热检查发现双肺结节,后经 PET-CT、穿刺活检确诊右下肺非小细胞肺癌(腺癌)。患者有高血压 20 余年、糖尿病 1 年余、阿尔兹海默症、脑卒中 1 年余、冠心病 1 月余,曾行冠脉支架置入术。 诊疗过程:辅助检查包括胸部 CT、PET-CT、冠脉 CT 等,明确右下肺腺癌,冠

靖彧

301解放军总医院

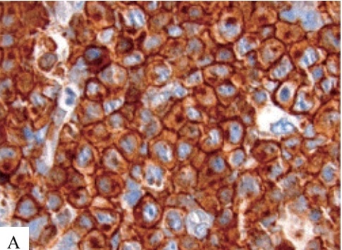
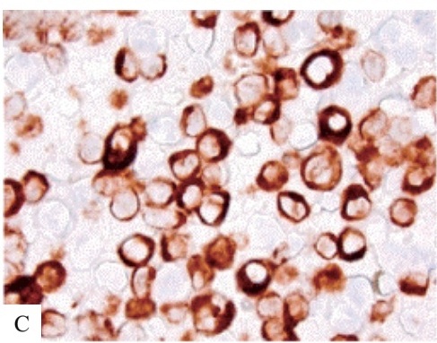
基因检测揪出 “隐藏凶手”:一例CCDC88C::PDGFRB融合基因阳性MLN-TK靶向治疗奇迹
病史摘要:15 岁男性患者,2018 年 9 月因双侧颈部淋巴结进行性肿大就诊。无其他特殊既往史。现以双侧颈部淋巴结肿大为主要表现,左侧 10cm×7cm,右侧 10cm×5cm。 诊疗过程:实验室检查示白细胞增高伴显著嗜酸性粒细胞增多、轻度贫血。左颈部淋巴结穿刺活检考虑为 T 淋巴母细胞淋巴瘤/白血病。PET/CT 显示多区域淋巴结受累等。骨髓 MICM 分型检查有相应表现。初诊为 T
先治疗还是先活检?膜性肾病危重患者的治疗困境与解决之道
病史摘要:33 岁男性,无既往病史。主诉咳嗽、左侧胸膜性胸痛、呼吸困难 2 个月,体重减轻 3 千克。有吸烟、饮酒史,曾按社区获得性肺炎治疗,转诊结核病科检查阴性,否认多种相关症状,系统回顾无特殊。 诊疗过程:入院检查生命体征,呼吸系统检查右肺底呼吸音减弱,胸片有阴影,初查白细胞计数升高。胸部 CT 发现多处栓塞梗死,立即抗凝。超声心动图提示右心室功能障碍。进一步检查确诊肾病综合征、膜性肾

孙秀华

大连医科大学附属第二医院

从R-CHOP到CAR-T,双病理淋巴瘤患者的三线治疗与合并症处置
病史摘要:59岁女性患者,2019年4月无诱因出现左眼睑肿胀,外院CT诊断“左眼眶内肿物”,症状逐渐加重。既往有乙型病毒性肝炎、子宫内膜癌子宫全切术病史。无发热、盗汗及体重下降。 诊疗过程:辅助检查包括颅脑增强MRI、CT、骨髓穿刺术等,诊断为非霍奇金淋巴瘤。一线行R-CHOP方案治疗6周期,后维持治疗;病情进展后二线行GEMOX方案化疗8周期及维持治疗;再次进展后三线入组临床研究,行自体