全部病例

于洁琼

中日友好医院

迷雾渐开:一场呼吸困难的探寻
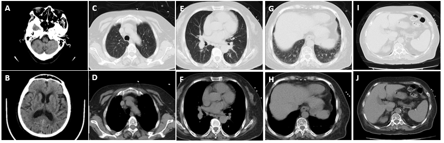
一、 病情简介患者,女性,78岁,主因“间断咳嗽咳痰3周,活动后呼吸困难5天”于2024.12.30收入笔者医院急诊科治疗。患者入院3周前着凉后出现咳嗽、咳痰,咳黄色粘痰,偶有发热,具体体温不详,自行口服感冒药后上述症状好转,遗留间断咳嗽。5天前患者出现活动后胸闷伴少量咳痰,白痰为主,夜间尚可平卧入睡,无夜间阵发性呼吸困难。1天前患者呼吸困难进一步加重,测SpO₂ 70%,就诊于我院急诊,血气分析

朱继红团队

北京大学人民医院

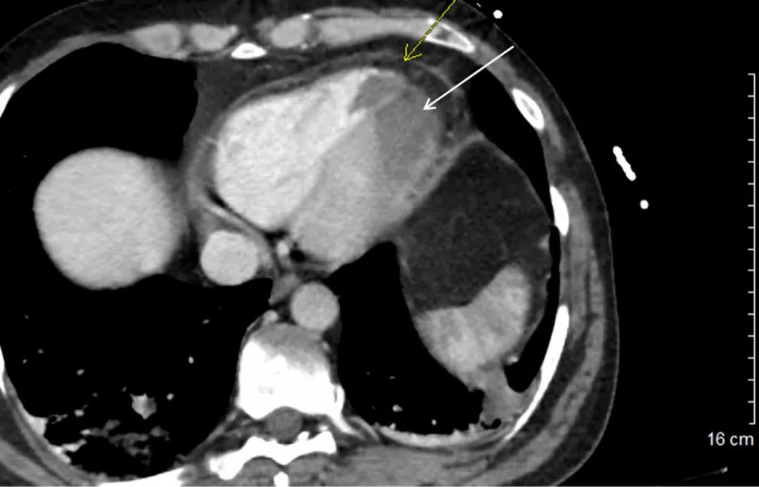
D-二聚体显著升高的A型主动脉夹层一例
病史摘要 52 岁男性患者金某,主因腹痛一周,再发一小时入院。入院前一周排便时出现剑突下疼痛、下颌酸胀、背痛、胸痛,外院考虑急性胆囊炎和骨膜炎,药物治疗后疼痛缓解出院。就诊前一小时,排便时上述症状复发,伴有恶心、出汗、呃逆,自服阿司匹林未缓解。既往有高血压、高胆固醇血症病史。 诊疗过程 患者生命体征平稳,心肺及腹痛查体均阴性。化验显示白细胞升高以中性为主,多项指标轻度异常,D - 二
00:40:53

朱继红团队

北京大学人民医院

胸痛中心里的魅影一一急性主动脉综合征
病史摘要:本文汇报两例胸痛患者。第一例为 54 岁男性,胸背痛 1 小时,无肢体放射痛,既往无基础病。第二例是 41 岁男性,胸腹痛 3 小时,疼痛呈撕裂样伴后背痛,有血压升高史,间断服降压药,无糖尿病、冠心病史。诊疗过程:第一例患者入院查体心率快、血压高,心电图 ST 段异常,化验无异常,考虑急性冠脉综合征等,完善主动脉 CTA 后确诊主动脉壁间血肿,转心外科监护病房。第二例
00:33:06
胸背部带状疱疹合并主动脉夹层1例报道
病史摘要:60岁女性患者,主因“头晕背痛40分钟”就诊。40分钟前坐公交时突发头晕、恶心、后背微痛、心慌、出汗、双腿发软。既往有高血压病史20余年,1月前患后背部带状疱疹,目前疱疹基本结痂但仍有疼痛,此次背痛感觉不同。 诊疗过程:查体生命体征平稳,神经系统无异常。血化验、头CT等检查无明显异常,予异丙嗪止晕和营养神经治疗。头晕改善但背痛不缓解,肺CT提示主动脉夹层可能,转抢救室监护、吸氧,
昏迷垂危到康复:51 岁患者牙周痛引发危重症救治
病史摘要:51岁男性农民,因“牙周疼痛4天,昏迷约3小时”于2024年4月17日入急诊监护室。4天前无诱因出现牙周痛伴右侧面颊部肿胀,当地医院输液治疗。3小时前昏迷。既往有糖尿病史,未管理血糖,双侧股骨痛坏死病史30余年。 诊疗过程:查体呈深昏迷、深大呼吸等。辅助检查提示多项异常,初步诊断为糖尿病性酮症酸中毒并昏迷、脓毒血症等。给予补液、抗感染、控血糖等综合治疗。期间病情波动,出现呼吸衰竭
头孢曲松可导致血小板减少,你见过吗?
病史摘要:61岁男性,因腹痛加重1天急诊就诊。既往有高血压、心力衰竭、房颤(用阿哌沙班治疗)、酒精使用障碍。此次腹痛急性发作,局限上腹部,向背部放射,伴恶心、多次非胆汁非血性呕吐,无呕血、黑粪、腹泻或便秘,否认发热等其他不适,近期有饮酒史,无血小板减少症等病史。 诊疗过程:入院体检生命体征平稳,上腹部轻压痛。实验室检查脂肪酶升高,腹盆CT提示急性胰腺炎。治疗中出现严重戒断症状转MICU,后
当甲状腺危象成为心源性休克的序幕:警惕β受体阻滞剂陷阱与多学科救治价值
病史摘要:41 岁女性,因上腹部疼痛、进行性功能性症状及双下肢水肿急诊入院。既往 2020 年发现动脉高血压及 Graves 病,曾接受β-受体阻滞剂等治疗后失访。 诊疗过程:入院查体腹部膨隆、触痛,心率 130 次/分等。辅助检查提示甲状腺危象高度可能,心脏生物标志物升高,心电图示房颤伴快速心室率,超声心动图显示重度双心室收缩功能障碍。先予地高辛等治疗无效,进展至心源性休克,后行机械通气
“靶环”警报!76岁老人Whipple术后突发腹痛呕吐,影像学揪出元凶
病例简介患者,男性,76 岁。主诉:因急性上腹痛、腹胀伴有呕吐和便秘3天,到急诊科就诊。关键病史:既往有胰腺癌病史,曾接受过胰十二指肠切除术(Whipple 手术)。查体示:腹部检查显示弥漫性压痛,无肌紧张。影像学发现:床旁超声(图 1)。计算机断层扫描(CT)(图2)。图 1 上腹部床旁超声图 2 CT成像显示(A)横断面和(B)矢状面你的诊断是什么?后续如何干预?(评论区说说你的看法)
肺部无影的呼吸困难,原因竟然是它!看床旁超声如何破解这场多病共存患者的生死迷局
病史摘要:54 岁男性,因“呼吸困难 1 周”就诊,平卧位或活动时加重,休息缓解,无发热、咳嗽及下肢水肿,体温、生命体征平稳。既往有哮喘、高血压、糖尿病及终末期肾病血液透析病史。 诊疗过程:查体双肺呼吸音清,心脏听诊因体型受限。床旁肺部超声未见肺水肿或胸腔积液,床旁心脏超声显示连枷样主动脉瓣伴活动性高回声团块致主动脉瓣关闭不全,经食管超声心动图进一步证实,确诊为感染性心内膜炎导致连枷样主动
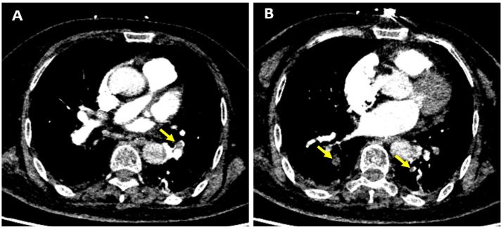
35cm致命栓子惊现肺动脉!看介入治疗如何破解中高危肺栓塞救治困局
病史摘要:43 岁男性,主因进行性加重的呼吸困难和咯血于外院就诊。既往史未提及,现病史为出现上述症状后于外院检查,生命体征提示血压 110/60 mmHg,心率 117 次/分,辅助供氧下氧饱和度 90%,呼吸频率 27 次/分。 诊疗过程:外院超声心动图显示右心室扩张,CT 肺血管造影提示急性肺栓塞累及主肺动脉及其分叉处,高敏心肌肌钙蛋白 I 升高,被归类为中高风险,初用低分子肝素治疗