全部病例

施雪斐

上海中医药大学附属曙光医院

重度主动脉瓣狭窄合并多重心血管疾病行TAVI治疗1例报道
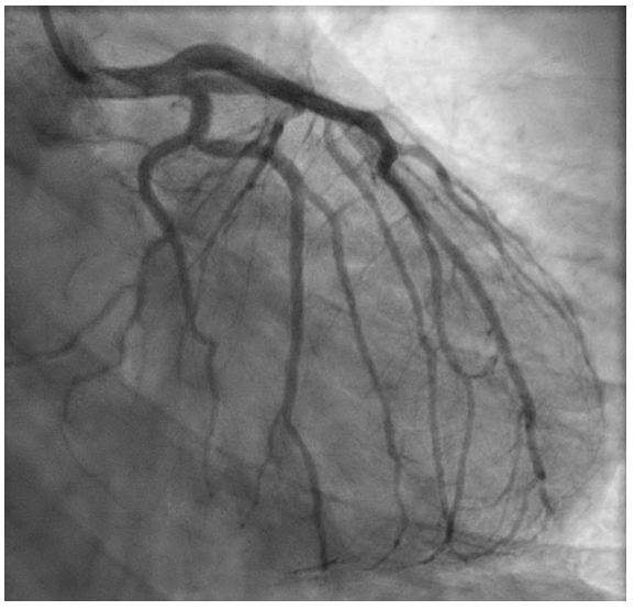
病史摘要:64岁男性患者,因“反复胸闷2月”入院。既往有10年高血压病史,最高血压160/100 mmHg,长期服药后血压控制在130/80 mmHg左右;20年前行胆囊切除术,有胰腺炎病史,否认糖尿病等慢性及传染病史。劳累后心前区闷痛,持续约5分钟,休息可缓解,入院时仍时有胸闷。 诊疗过程:查体血压130/80 mmHg,心率80次/分,律不齐,主动脉瓣第一听诊区闻及收缩期喷射样杂音

施雪斐

上海中医药大学附属曙光医院

从病因溯源到个体化治疗——一例40岁男性扩张型心肌病致心衰患者的诊疗历程
病史摘要:40 岁男性,因“腹胀伴双下肢水肿 2 周”于 2025 年 10 月 9 日就诊。2 周前无诱因出现腹胀、双下肢对称凹陷性水肿等症状,且逐渐加重。既往有 5 年高血压病史,最高血压 180/130 mmHg;2019 年 4 月患病毒性心肌炎。否认其他慢性内科及传染病史、手术外伤史。 诊疗过程:入院检查发现全心增大、左室收缩及舒张功能减低等。诊断为心力衰竭、心功能不全等。完善心

施雪斐

上海中医药大学附属曙光医院

61岁男性,射频消融术后再发房颤伴病态窦房结综合征,从临时起搏器到永久起搏器诊疗历程分析​
病史摘要:61岁男性,反复心慌伴胸闷气促3年余,近3月加重,有头晕、视物黑矇,曾多次入院。有高血压、糖尿病、脑梗病史。3年前无诱因出现心悸等症状,心电图示房颤,药物转律后长期服药治疗,仍反复发作。近3月症状加重,2025年3月房颤发作后出现一过性意识丧失。 诊疗过程:查体生命体征平稳,心肺无明显异常。辅助检查包括心超、心电图等。初步诊断多种疾病,鉴别诊断排除冠心病所致心律失常。治疗上予抗凝

施雪斐

上海中医药大学附属曙光医院

48岁男性STEMI合并心源性休克患者,支架置入术后继发多器官功能衰竭并死亡的病例报告分析及诊疗策略探讨
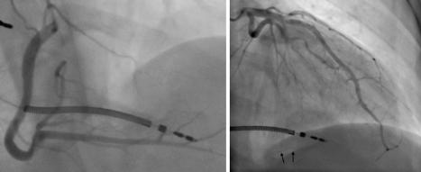
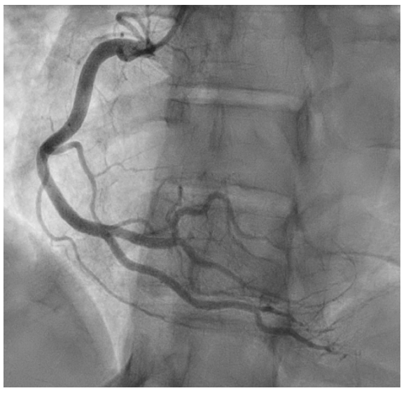
病史摘要:48岁男性患者,2025年10月24日9:40工作时突发意识丧失、小便失禁、呕吐。3年前曾行PCI术,高血压、糖尿病用药不详。 诊疗过程:入院查体神情萎靡、神志模糊等,血压低。心电图提示STEMI,实验室检查多项指标异常。西医诊断为急性前壁高侧壁心肌梗死合并心源性休克(Killip IV级)等,中医诊断为卒心痛(气虚血瘀证)。11:08行冠状动脉造影,对前降支病变处理,术中患
肾炎治疗中的意外:血钾与肾功正常,为何突发心脏传导“罢工”?
病史摘要:43岁男性患者,因关节痛、面部红斑、乏力及心悸就诊。近期出现关节痛、面部红斑及乏力,尿液分析有大量潜血及蛋白尿。自身抗体检查多项阳性,补体水平降低。既往无心脏疾病史,既往心电图无电生理异常。 诊疗过程:经会诊及肾活检诊断为IV型狼疮性肾炎,开始接受免疫抑制治疗并预防性加用复方磺胺甲噁唑。次日患者突发心悸,心电图诊断为二度I型房室传导阻滞,实验室检查肾功能及电解质正常。考虑心律
带状疱疹后大血管病变致脑梗死1例
摘要:水痘-带状疱疹病毒(varicella-zoster virus,VZV)再激活与缺血性卒中的发生密切相关,其主要机制包括病毒对脑血管直接侵袭导致的内皮损伤、免疫介导的炎症反应及继发性血栓形成等。本文报道1例52岁女性患者,于右侧颈肩部带状疱疹发病10 d后,相继出现后循环及前循环脑缺血症状。影像学检查显示右侧小脑和大脑半球多发梗死,以及同侧颈内动脉、大脑中动脉闭塞,经机械取栓后患者血管部分

施雪斐

上海中医药大学附属曙光医院

病态窦房结综合征一例
病史摘要:61岁男性,3年前无诱因出现心悸、胸闷气促,活动加重伴双下肢水肿,诊断房颤,药物转律后长期口服阿司匹林、比索洛尔。近3月症状加重,有头晕、黑矇,曾出现一过性意识丧失。既往有高血压、糖尿病、脑梗病史,50余年前眼外伤手术史。 诊疗过程:入院查体生命体征平稳,心肺腹无明显异常。辅助检查包括心电图、心超等。诊断为窦性心动过缓、高血压病、2型糖尿病等多种疾病。治疗上予艾多沙班抗凝、沙库巴
56岁女性,CABG术后出现疲劳、胸痛,心电图你怎么看?
病史摘要:56岁女性,因三支冠脉病变行冠状动脉旁路移植术(CABG)。术后常规随访时,出现疲劳、胸痛(与胸骨切口无关且非心绞痛)、呼吸困难及外周水肿症状。诊疗过程:体格检查、超声心动图与12导联心电图检查结果一致。心电图显示心律规则,心率130次/分钟,为窦性心动过速伴电交替,电轴右偏。结合病史,考虑左后分支传导阻滞,QRS波振幅逐搏变化提示大量心包积液或心包填塞,aVR导联P波电
严重低体温时心电图会发生怎样的改变?
病史摘要:46岁无家可归男性,在寒冷夜晚因“意识错乱”被送往急诊室,到急诊时仍意识错乱,体温约30℃。诊疗过程:到达急诊后行12导联心电图检查。心电图显示节律规整,心率60次/分钟,每个QRS波前有P波,PR间期恒定,为正常窦性心律。QRS波时限及形态正常,心电轴正常。QR波后J点明显抬高,呈现Osborn波或J波,最终诊断为低体温所致的Osborn波。情况总结:该病例主
起博心律患者出现胸痛应紧急再灌注?你如何判读
病史摘要:74岁男性,有非缺血性心肌病病史及双心室起搏器植入史。因间歇性胸痛2天,持续4小时,伴大汗、呼吸短促至急诊科就诊。诊疗过程:患者生命体征正常,12导联心电图显示心房感知双室起搏伴室性早搏,符合起搏心律下的Aslanger模式,提示下壁闭塞性心肌梗死。两小时后出现多形性室性心动过速。首次高敏肌钙蛋白I显著升高,被诊断为非STEMI,入院至置管时间20小时。血管造影显示右冠状