全部病例

1例NOTCH3基因双位点突变致CADASIL报道
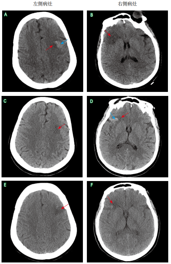
摘要:伴皮质下梗死和白质脑病的常染色体显性遗传性脑动脉病(cerebral autosomal dominant arteriopathy with subcortical infarcts and leukoencephalopathy,CADASIL)是一种由NOTCH3基因突变引起的遗传性脑小血管病。本文报道1例老年男性CADASIL病例,患者以认知障碍为主要临床表现,伴情绪低落及淡漠。头颅
神经系统少见卒中模拟病
卒中模拟病(stroke mimics)[1]是指一大类在疾病的发病初期,患者的临床症状及体征类似卒中,而经详细的病史询问、检查、评估及随访后,最后证实患者并非卒中疾病的一组疾病,目前没有统一定义,因其临床症状类似卒中发作,容易被误诊。一些卒中模拟病不易被识别,本文现将临床工作中遇到的三类少见卒中模拟病病例介绍如下。1 病例介绍1.1 病例1 患者,女性,74岁,因“右侧肢体无力15天,精神异常9
以脑梗死为首发表现的急性间歇性卟啉病1例
1 病例介绍患者男性,54岁,因“四肢麻木无力1年半”于2019年4月11日入院。1年半前,患者无明显诱因突发四肢麻木无力,右侧肢体较重无法抬离床面,左侧肢体可抬起,伴右侧颈背部疼痛,伴小便不尽,偶有头晕、恶心、纳差。就诊当地医院,考虑“急性脑梗死”,予阿替普酶静脉溶栓治疗后右侧肢体肌力略改善,颅脑MRI检查提示“左侧内囊急性脑梗死”,予抗血小板聚集、稳定斑块等治疗后好转出院。发病2个月后四肢仍有
继发于脑干出血的以四肢阵发性震颤为突出表现的肥大性下橄榄核变性诊治——1例病例报道并文献复习
摘要:肥大性下橄榄核变性在临床上较为罕见,其典型临床表现包括腭肌阵挛、共济失调、声音嘶哑和眼部症状,而以四肢阵发性震颤为突出表现的患者则更为罕见,此类患者易被漏诊或误诊。本文报道1例继发于脑干(右侧脑桥和中脑)出血、以四肢阵发性震颤为突出表现的肥大性下橄榄核变性患者,介绍其诊断、治疗及随访情况,并结合相关文献探讨此类患者的临床特点,总结其解剖基础、影像学表现、诊断与治疗要点,以提高临床医师对该病的
青年非酮症高血糖相关脑病伴卒中样发作1例报道及文献复习
摘要:非酮症高血糖(non-ketotic hyperglycemia,NKH)相关脑病在临床上较为罕见,其表现形式多样,易被误诊或漏诊。本文报道1例以卒中样发作为主要表现的青年NKH相关脑病患者,详细分析其临床表现、影像学特征及诊疗经过,利用多模态MRI技术清晰呈现其病变特点,并总结NKH相关脑病的核心影像学特征及潜在病理生理机制,以期为疾病诊断提供可靠的影像学依据。1 病例介绍患者男性,36岁
普罗布考联合阿托伐他汀治疗多发脑血管狭窄合并主动脉弓溃疡斑块病例报道
摘要:预防卒中的发生和复发是缺血性脑血管病防治的首要任务,多发脑血管狭窄合并主动脉弓溃疡斑块的患者缺血性卒中复发的风险显著升高。本文介绍1例普罗布考联合阿托伐他汀治疗多发脑血管狭窄合并主动脉弓溃疡斑块患者的发病和治疗情况。该例患者表现为轻度神经功能缺损,住院期间发现多发脑血管狭窄合并主动脉弓溃疡斑块,在序贯双联抗血小板治疗3个月后持续阿司匹林单药抗血小板治疗,并全程联合普罗布考和阿托伐他汀强化降脂
伴皮质下梗死和白质脑病的常染色体显性遗传性脑动脉病患者大脑中动脉闭塞血管内治疗1例并文献复习
摘要:伴皮质下梗死和白质脑病的常染色体显性遗传性脑动脉病(cerebral autosomal dominant arteriopathy with subcortical infarcts and leukoencephalopathy,CADASIL)是NOTCH3基因突变所致的遗传性脑小血管病,主要病变血管为颅内小动脉,累及大脑皮质和颅内大/中动脉的报道较罕见,目前缺乏特效治疗方法。本文报道
急性颈动脉闭塞支架置入术后血管再闭塞补救性治疗方法——股-颈动脉转流术报道
摘要:急性缺血性卒中治疗的关键在于快速恢复缺血脑组织血流,发病时间窗内可给予静脉溶栓,效果不佳则桥接血管内介入治疗。当使用常规支架取栓、抽吸取栓、球囊扩张等方法未能开通闭塞的血管时,支架置入是有效的补救方法。部分患者支架置入后可能出现血管再闭塞,如不能快速开通闭塞血管,可导致严重残疾或死亡。本文报道了1例股-颈动脉转流术补救性治疗急性颈动脉闭塞支架置入术后血管再闭塞患者的诊疗过程,为快速解决这种不
阿替普酶静脉溶栓后替罗非班桥接双重抗血小板聚集治疗内囊预警综合征病例报道
摘要:内囊预警综合征(capsule warning syndrome,CWS)是一组罕见的临床症状,具有反复发作刻板样神经功能缺损症状,易进展成完全性卒中的特点。本研究报道1例表现为发作性言语不清伴左侧肢体无力的CWS,该患者经阿替普酶静脉溶栓治疗后24 h内,仍反复发作刻板样言语不清、左侧肢体无力。经评估风险后,静脉溶栓后24 h内予以替罗非班抗血小板聚集治疗,3 d后桥接双重抗血小板聚集治疗
三尖瓣下移畸形合并房间隔缺损致儿童卒中1例报道
摘要:儿童卒中是临床常见的危急症,是儿童致残和死亡的主要原因之一,病因复杂多样,其中心源性卒中不容忽视。三尖瓣下移畸形是一种少见的先天性心脏病,主要累及三尖瓣和右心室,少数可合并房间隔缺损或卵圆孔未闭引起矛盾栓塞,导致心源性卒中发生。本文报道1例由三尖瓣下移畸形合并房间隔缺损引起儿童卒中的病例,超声心动图技术有助于该类疾病的明确诊断、严重度评估以及其他异常的识别。儿童心源性卒中不容忽视,超声心动图