全部病例

服用氟哌啶醇后舌头急骤肿胀,什么原因?
病史摘要:54 岁男性,1 年前诊断为晚发性精神分裂症,服用氟哌啶醇等药物治疗 1 年,有乙型肝炎病毒感染史,无药物过敏史。此次口服 2 片氟哌啶醇约 20 分钟后,突发进行性舌体肿胀,伴下颌紧闭疼痛,言语及进食困难,无呼吸困难,家属称无癫痫发作或外伤。诊疗过程:体格检查生命体征平稳,神经系统查体除口下颌肌张力障碍外无异常,

王钰璞

上海交通大学医学院附属第九人民医院

左侧咽喉痛:咽炎?肿瘤?
病史摘要:57岁男性患者,主因左咽喉吞咽疼痛3个月余就诊。3个月来,患者自觉吞咽时左侧咽喉疼痛,自行服用抗生素未见好转。3周前出现左侧舌根异物感,外院喉镜检查发现舌根肿物,病理活检提示癌变。患者有高血压病25年,乙肝“大三阳”未行治疗,无心脏病等疾病史,无手术、输血史,无食物、药物过敏史。吸烟、饮酒史均26年,已戒烟,已婚已育,家族史无特殊。 诊疗过程:入院体检生命体征平稳,左侧舌

施琳俊

上海交通大学医学院附属第九人民医院

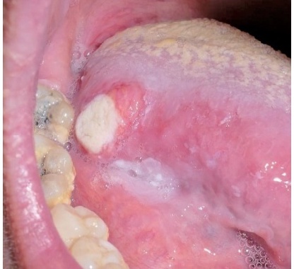
舌部肿物伴烧灼样疼痛:难道和过世的父亲一样,是舌癌吗?
病史摘要:55岁女性患者,舌部肿物伴烧灼样疼痛5个月余。10个月前父亲确诊舌癌晚期并于半年前离世,患者5个月前自检发现舌根部红色颗粒状肿物,伴烧灼样疼痛、麻木,自行服药无好转。有高血压史10年,服用“苯磺酸氨氯地平”血压控制良好,无其他特殊既往史、个人史。家族史为父亲舌癌。诊疗过程:查体见面部、口外及口内黏膜等均无明显异常。外院实验室检查、头颈部MRI及真菌培养均未见特殊。初步诊断

施琳俊

上海交通大学医学院附属第九人民医院

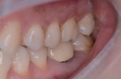
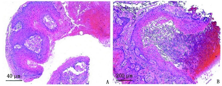
牙龈糜烂:相同症状是同一疾病三个案例,还是三种不同疾病?
病史摘要:本文介绍3位牙龈糜烂患者。患者1为52岁女性,多牙牙龈红肿、糜烂半年,伴双颊白纹,有高血压、糖尿病史。患者2为35岁女性,上前牙牙龈肿痛5个月余,外院治疗未好转。患者3为37岁女性,右下牙龈溃疡、肿痛2个月,外院诊断“牙周炎”治疗无效且病情加重。三位患者均否认乙肝、结核等传染病史、外伤史、手术史、输血史、药物及食物过敏史,无吸烟、酗酒、冶游史,也无相关疾病家族史。 诊疗过

程蕙娟

上海交通大学医学院附属第九人民医院

单颗牙充填治疗后头痛:颞下颌关节紊乱病还是咬合病?
病史摘要:30 岁女性患者,主诉左侧后牙补牙后咬合不稳定伴头痛 2 周。2 周前左侧上后牙龋坏行充填治疗,术后出现咬合不稳、面部不适及头痛,1 周前拆除重填仍无改善。既往左下后牙烤瓷冠修复多年,左上后牙有充填史,有左侧单侧咀嚼习惯,否认夜磨牙及系统性、家族性疾病史。 诊疗过程:查体见张口度 3 指,右侧方运动受限,双侧翼外肌区压痛。口检牙列完整,部分牙有充填或修复体,右侧后牙舌倾、

李德云

昆明医科大学第一附属医院

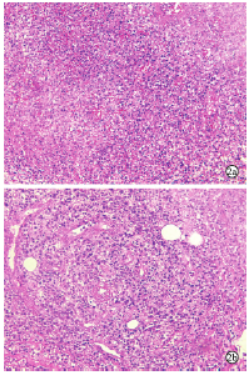
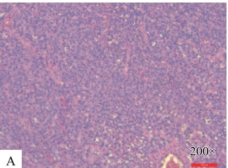
一例奥妥珠单抗+苯达莫司汀方案治疗腮腺原发黏膜相关淋巴组织淋巴瘤患者4个周期后获得完全缓解
病史摘要:69岁女性,主诉发现右侧耳前区肿物5月余。起初肿物“黄豆样”大小,后逐渐增大。于当地医院X线检查后转至上级医院,后就诊于我院口腔外科。诊疗过程:完善右侧腮腺区CT平扫 + 增强等检查后入院行手术,术后病理提示“MALT淋巴瘤”。血常规、PET - CT、骨髓检查等进一步明确病情,诊断为MALT淋巴瘤,Ⅱ期A组,IPI评分1分,低危组。采用奥妥珠单抗联合苯达莫司汀治疗4个周
显微根尖手术联合引导组织再生术治疗左上前牙根尖囊肿1例及3年回访
病史摘要:43岁女性,因“左上前牙牙松动”就诊,左上前牙曾在外院行根管治疗,时间不详。否认心血管疾病、糖尿病等系统性疾病史,否认肝炎等传染性疾病、药物过敏及精神和心理病史。口腔卫生差。诊疗过程:口腔检查发现多颗牙齿存在不同程度的问题。根尖片和CBCT显示21、22根尖周有大面积阴影等情况。诊断为12继发龋、21和22慢性根尖周炎。治疗方案包括12充填治疗,21显微根管治疗,22显微
腭部巨型疣状黄瘤1例
病史摘要:26岁女性,以“发现左上后牙区腭侧肿物2个月”为主诉就诊。自觉肿物表面粗糙、异物感明显,进食刺激性食物时加重。自行外用药物无效。既往体健,有HPV疫苗接种史,否认系统病史、药物过敏史与性生活史。诊疗过程:初诊时专科检查发现24 - 27牙腭侧牙龈黏膜糜烂等情况,CBCT显示局部骨质与软组织异常。活检病理初诊为牙龈瘤。入院完善术前检查后手术切除肿物,术中冰冻为左侧上腭肿物冰
误诊为坏死性肉芽肿的结外NK/T细胞淋巴瘤1例
病史摘要:46岁男性患者,吸烟20余年,每天40支。有反复口腔溃疡史。因腭部溃疡1月余伴发热1周就诊。曾在当地医院治疗,效果不佳。无系统性病史、药物过敏史,家族史无特殊。诊疗过程:初诊时口腔检查发现硬腭部有溃疡,血常规多项指标异常。初步诊断为坏死性肉芽肿或重型复发性口腔阿弗他溃疡。进行局部溃疡组织活检,初诊为坏死性肉芽肿。给予药物、雾化、激光等治疗,5日后复诊溃疡无明显变化,后经病
舌嗜酸性溃疡1例
病史摘要:72岁女性患者,右舌腹溃疡1月余,面积渐大且疼痛明显影响进食。否认口腔溃疡反复发作史与药物过敏史,有帕金森病、高血压病史。曾于当地医院按“口腔溃疡”治疗无效。诊疗过程:专科检查右舌腹后份有8mm×6mm椭圆形溃疡,上覆黄白假膜,周缘发白稍隆起。甲苯胺蓝染色(+)。调磨47锐利边缘嵴并切除溃疡送病理,病理符合舌嗜酸性溃疡。术后1周复诊伤口愈合良好,进行局部注射、含漱、局涂等