+5麦粒
复杂腹主动脉瘤(CAAAs)与胸腹主动脉瘤(TAAAs)的治疗一直是血管外科领域的技术高地。
我的没有胆囊结石,为什么有胆囊炎?一定要手术吗?
在普外科,很多患者因为手术等原因需要留置尿管,而拔除尿管后能否顺利排尿是大家非常关心的问题。
指南共识
在医院的病房里,常常会出现这样一个场景:做完手术的患者,当第一次放出屁时,医生和家属都会如释重负地露出笑容。这看似微不足道的一声屁,背后却有着重要的医学意义。今天就让我们来揭开术后放屁那些有趣又重要的知识。
世界肥胖地图显示,全球约半数成人存在超重/肥胖问题。
在肝胆外科门诊,常有患者困惑地问:“医生,我最近只是有点乏力,怎么就到了肝癌晚期?”这样的疑问屡见不鲜。然而,背后的数据更令人痛心:我国肝癌患者确诊时,70%以上已是中晚期,五年生存率不足15%。
无症状胆囊结石在临床上较为常见,在门诊经常被问到:我有胆囊结石但没有症状,这种也需要做手术吗?
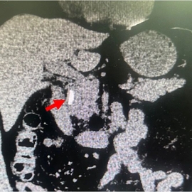
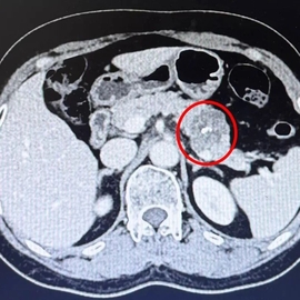
临床工作中,如患者出现无法用胆石症、胆管和胰腺肿瘤等原因解释且反复发作的梗阻性黄疸、胆管炎或胰腺炎时,应该考虑Lemmel综合征的可能性。
60岁的北湖西路大叔近几天觉得上腹胀痛不适,不想吃东西,大便也未解。